The TIMMDC1 Antibody (CAB15839) is a high-quality antibody developed for reliable detection and analysis of target proteins. This antibody, produced in rabbits, is highly specific to TIMMDC1 and has been validated for use in various applications, including Western blotting. By targeting the TIMMDC1 protein, this antibody allows for the detection and analysis of TIMMDC1 expression in different cell types, making it an essential tool for studies in cell biology and mitochondrial function.
This antibody is validated for use in WB, IHC-P, ELISA applications and has demonstrated reactivity against Human, Mouse, Rat samples.
Product Name:
TIMMDC1 Antibody
SKU:
CAB15839
Size:
20μL, 100μL
Reactivity:
Human, Mouse, Rat
Conjugate:
Unconjugated
Immunogen:
Recombinant protein (or fragment).This information is considered to be commercially sensitive.
Located in mitochondrion and nucleoplasm. Implicated in nuclear type mitochondrial complex I deficiency 31.
Purification Method
Affinity purification
Gene ID
51300
RRID
AB_2763264
Buffer Information
Store at -20℃. Avoid freeze / thaw cycles. Buffer: PBS with 0.01% thimerosal,50% glycerol,pH7.3.
Western blot analysis of various lysates using TIMMDC1 Rabbit pAb (CAB15839) at 1:1000 dilution. Secondary antibody: HRP-conjugated Goat anti-Rabbit IgG (H+L) (CABS014) at 1:10000 dilution. Lysates/proteins: 25μg per lane. Blocking buffer: 3% nonfat dry milk in TBST. Detection: ECL Basic Kit (AbGn00020). Exposure time: 10s.
Immunohistochemistry analysis of paraffin-embedded Mouse heart using TIMMDC1 Rabbit pAb (CAB15839) at dilution of 1:100 (40x lens). Microwave antigen retrieval performed with 0.01M PBS Buffer (pH 7.2) prior to IHC staining.
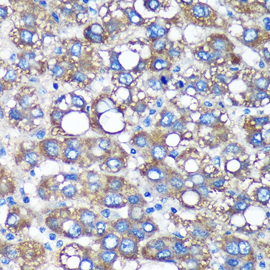
Immunohistochemistry analysis of paraffin-embedded Human liver cancer using TIMMDC1 Rabbit pAb (CAB15839) at dilution of 1:100 (40x lens). Microwave antigen retrieval performed with 0.01M PBS Buffer (pH 7.2) prior to IHC staining.