null
100% Quality Guarantee
PhD-Level Technical Support
Key Features

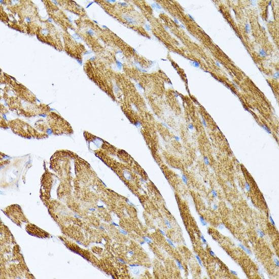
TPM2 Rabbit Polyclonal Antibody (CAB3096)

SKU CAB3096
Product Type Antibody
Antibody Type Polyclonal Antibody
Reactivity Human, Mouse, Rat
Host Species Rabbit
Synonyms DA1, DA2B, NEM4, TMSB, AMCD1, DA2B4, HEL-S-273, TPM2
Research Use Cell Biology
€96 - €370
Global Shipping: 80+ Countries
White Glove Service: Available upon request
Batch Consistency: Contact Sales
Distributors: 60+ Countries

Description

system_update_altDatasheetsystem_update_altMSDS

TPM2 Antibody (CAB3096)

The TPM2 Antibody (CAB3096) is a high-quality antibody developed for reliable detection and analysis of target proteins. This antibody, raised in rabbits, is highly specific to human samples and has been validated for use in Western blot applications. By targeting the TPM2 protein, this antibody enables the detection and analysis of TPM2 in various cell types, making it ideal for studies in muscle biology, cell physiology, and cardiovascular research.

This antibody is validated for use in WB, IHC-P, IF/ICC, IP, ELISA applications and has demonstrated reactivity against Human, Mouse, Rat samples.

0 Reviews

0
Based on 0 reviews

No reviews yet. Be the first to share your experience!

View AllClose