The TRAPPC6B Antibody (CAB15561) is a high-quality antibody developed for reliable detection and analysis of target proteins. This antibody, generated in rabbits, demonstrates high specificity and reactivity with human samples, making it an excellent choice for use in Western blot applications.TrappC6B is a component of the TRAPP complex, which plays a crucial role in regulating the tethering and fusion of transport vesicles within the Golgi apparatus. Dysregulation of TrappC6B has been linked to various diseases, including neurodevelopmental disorders and certain types of cancer.
This antibody is validated for use in WB, IHC-P, ELISA applications and has demonstrated reactivity against Mouse, Rat samples.
Product Name:
TRAPPC6B Antibody
SKU:
CAB15561
Size:
20μL, 100μL
Reactivity:
Mouse, Rat
Conjugate:
Unconjugated
Immunogen:
Recombinant protein (or fragment).This information is considered to be commercially sensitive.
TRAPPC6B is a component of TRAPP complexes, which are tethering complexes involved in vesicle transport (Kummel et al., 2005 [PubMed 16025134]).
Purification Method
Affinity purification
Gene ID
122553
RRID
AB_2762965
Buffer Information
Store at -20℃. Avoid freeze / thaw cycles. Buffer: PBS with 0.01% thimerosal,50% glycerol,pH7.3.
Western blot analysis of various lysates using TRAPPC6B Rabbit pAb (CAB15561) at 1:1000 dilution. Secondary antibody: HRP-conjugated Goat anti-Rabbit IgG (H+L) (CABS014) at 1:10000 dilution. Lysates/proteins: 25μg per lane. Blocking buffer: 3% nonfat dry milk in TBST. Detection: ECL Basic Kit (AbGn00020). Exposure time: 90s.
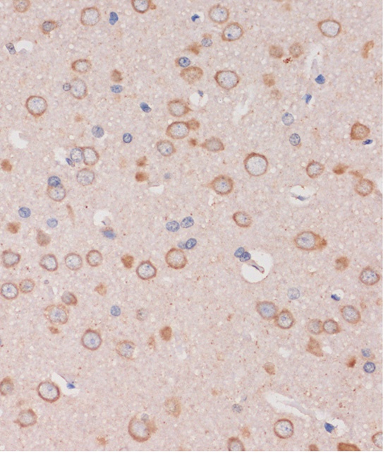
Immunohistochemistry analysis of paraffin-embedded Rat brain using TRAPPC6B Rabbit pAb (CAB15561) at dilution of 1:100 (40x lens). Microwave antigen retrieval performed with 0.01M PBS Buffer (pH 7.2) prior to IHC staining.