The TRMT61A Antibody (CAB10597) is a high-quality antibody developed for reliable detection and analysis of target proteins. This antibody, produced in rabbits, exhibits high reactivity with human samples and has been validated for use in Western blot applications. By targeting the TRMT61A protein, this antibody allows for the detection and analysis of TRMT61A expression in various cell types, making it ideal for investigations in molecular biology and cancer research.TRMT61A plays a crucial role in maintaining the accuracy and efficiency of protein synthesis by ensuring proper tRNA modification.
This antibody is validated for use in WB, IHC-P, IF/ICC, ELISA applications and has demonstrated reactivity against Human, Mouse, Rat samples.
Product Name:
TRMT61A Antibody
SKU:
CAB10597
Size:
20μL, 100μL
Reactivity:
Human, Mouse, Rat
Conjugate:
Unconjugated
Immunogen:
Recombinant protein (or fragment).This information is considered to be commercially sensitive.
Recommended starting concentration is 1 μg/mL. Please optimize the concentration based on your specific assay requirements.
Synonyms:
GCD14, TRM61, Gcd14p, hTRM61, C14orf172, TRMT61A
Positive Sample:
PC-3, U-251MG, A-549, Mouse spleen, Rat testis
Cellular Localization:
Nucleus.
Calculated MW:
31kDa
Observed MW:
33kDa
Enables mRNA (adenine-N1-)-methyltransferase activity. Involved in mRNA methylation. Predicted to be located in nucleoplasm. Predicted to be part of tRNA (m1A) methyltransferase complex. Predicted to be active in nucleus.
Purification Method
Affinity purification
Gene ID
115708
RRID
AB_2758138
Buffer Information
Store at -20℃. Avoid freeze / thaw cycles. Buffer: PBS containing 50% glycerol, preserved with proclin300 or sodium azide, pH 7.3.
Western blot analysis of various lysates using TRMT61A Rabbit pAb (CAB10597) at 1:1000 dilution. Secondary antibody: HRP-conjugated Goat anti-Rabbit IgG (H+L) (CABS014) at 1:10000 dilution. Lysates/proteins: 25μg per lane. Blocking buffer: 3% nonfat dry milk in TBST. Detection: ECL Basic Kit (AbGn00020). Exposure time: 30s.
Western blot analysis of various lysates using TRMT61A Rabbit pAb (CAB10597) at 1:1000 dilution. Secondary antibody: HRP-conjugated Goat anti-Rabbit IgG (H+L) (CABS014) at 1:10000 dilution. Lysates/proteins: 25μg per lane. Blocking buffer: 3% nonfat dry milk in TBST. Detection: ECL Basic Kit (AbGn00020). Exposure time: 90s.
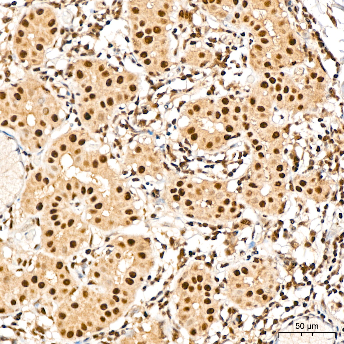
Immunohistochemistry analysis of paraffin-embedded Human breast tissue using TRMT61A Rabbit pAb (CAB10597) at a dilution of 1:200 (40x lens). High pressure antigen retrieval performed with 0.01M Citrate buffer (pH 6.0) prior to IHC staining.
Immunohistochemistry analysis of paraffin-embedded Human colon tissue using TRMT61A Rabbit pAb (CAB10597) at a dilution of 1:200 (40x lens). High pressure antigen retrieval performed with 0.01M Citrate buffer (pH 6.0) prior to IHC staining.
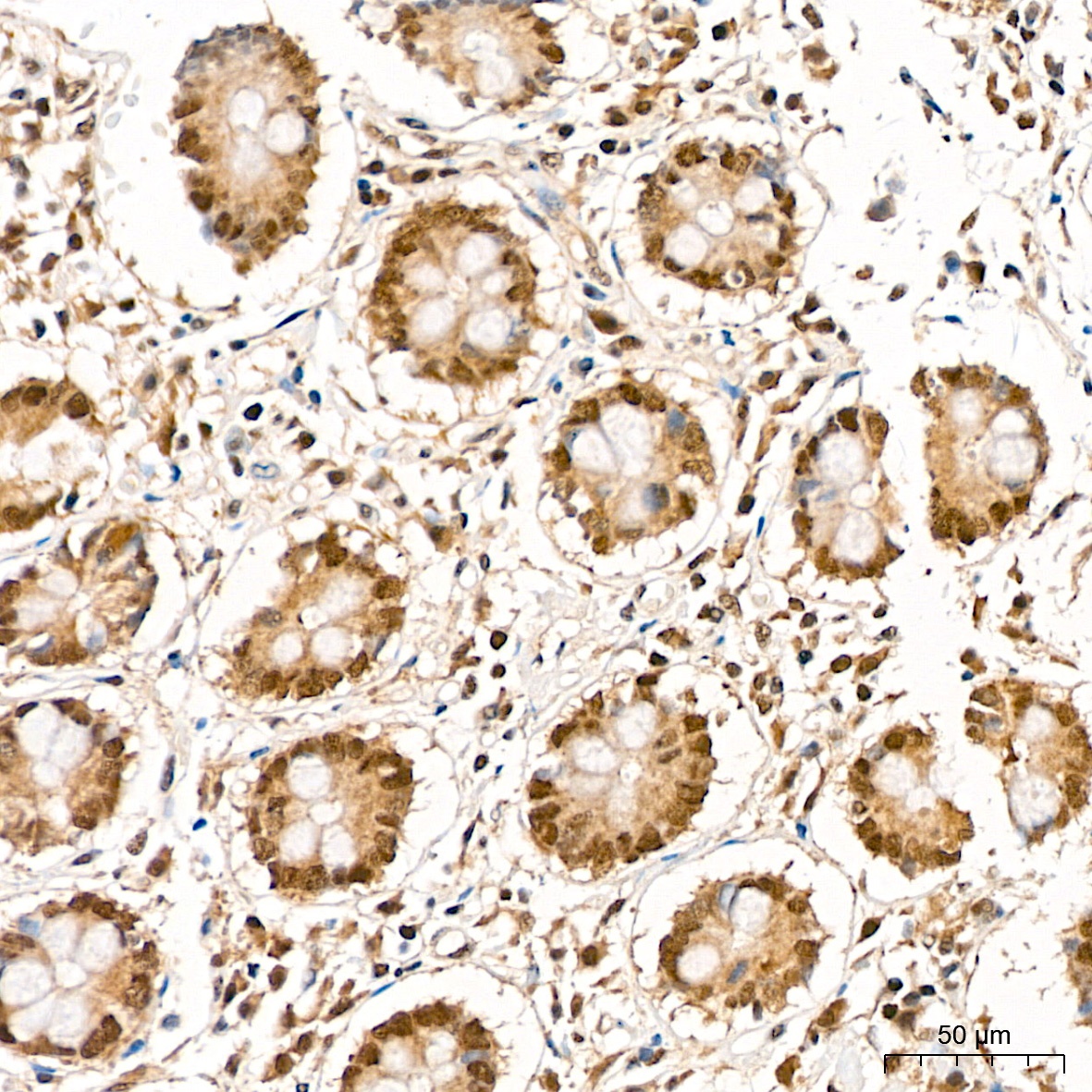
Immunohistochemistry analysis of paraffin-embedded Mouse intestin tissue using TRMT61A Rabbit pAb (CAB10597) at a dilution of 1:200 (40x lens). High pressure antigen retrieval performed with 0.01M Citrate buffer (pH 6.0) prior to IHC staining.