The TRPM2 Antibody (CAB6137) is a high-quality antibody developed for reliable detection and analysis of target proteins. This antibody is raised in rabbits and is highly reactive with human samples, making it an ideal tool for Western blot applications.TRPM2 is known to be involved in responses to oxidative stress and is implicated in diseases such as Alzheimer's, Parkinson's, and stroke. By binding to TRPM2, this antibody enables accurate detection and analysis of the protein in different cell types, providing valuable insights for researchers studying neurobiology, neurodegenerative diseases, and inflammation.
This antibody is validated for use in WB, ELISA, IF-P applications and has demonstrated reactivity against Mouse, Rat samples.
Product Name:
TRPM2 Antibody
SKU:
CAB6137
Size:
20μL, 100μL
Reactivity:
Mouse, Rat
Conjugate:
Unconjugated
Immunogen:
Recombinant protein (or fragment).This information is considered to be commercially sensitive.
The protein encoded by this gene forms a tetrameric cation channel that is permeable to calcium, sodium, and potassium and is regulated by free intracellular ADP-ribose. The encoded protein is activated by oxidative stress and confers susceptibility to cell death. Alternative splicing results in multiple transcript variants encoding distinct protein isoforms. Additional transcript variants of this gene have been described, but their full-length nature is not known.
Purification Method
Affinity purification
Gene ID
7226
RRID
AB_2766767
Buffer Information
Store at -20℃. Avoid freeze / thaw cycles. Buffer: PBS containing 50% glycerol, preserved with proclin300 or sodium azide, pH 7.3.
Western blot analysis of lysates from Mouse lung, using TRPM2 Rabbit pAb (CAB6137) at 1:500 dilution. Secondary antibody: HRP-conjugated Goat anti-Rabbit IgG (H+L) (CABS014) at 1:10000 dilution. Lysates/proteins: 25μg per lane. Blocking buffer: 3% nonfat dry milk in TBST. Detection: ECL Enhanced Kit (AbGn00021). Exposure time: 90s.
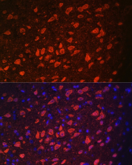
Immunofluorescence analysis of paraffin-embedded rat brain using TRPM2 Rabbit pAb (CAB6137) at dilution of 1:100. Secondary antibody: Cy3-conjugated Goat anti-Rabbit IgG (H+L) (CABS007) at 1:500 dilution. Blue: DAPI for nuclear staining.