The Tryptophanyl-tRNA synthetase 1 Monoclonal Antibody (CAB22440) is a high-quality antibody developed for reliable detection and analysis of target proteins. This antibody, developed specifically for human samples, is highly specific and sensitive, allowing for precise detection of the Tryptophanyl-tRNA Synthetase 1 protein in various biological samples.Tryptophanyl-tRNA Synthetase 1 is a key enzyme involved in the process of protein translation, specifically in the attachment of tryptophan to its corresponding tRNA molecule. Dysregulation of this enzyme has been linked to various diseases, including cancer and neurodegenerative disorders, making it a valuable target for research in these areas.
This antibody is validated for use in WB, IHC-P, ELISA applications and has demonstrated reactivity against Human samples.
Aminoacyl-tRNA synthetases catalyze the aminoacylation of tRNA by their cognate amino acid. Because of their central role in linking amino acids with nucleotide triplets contained in tRNAs, aminoacyl-tRNA synthetases are thought to be among the first proteins that appeared in evolution. Two forms of tryptophanyl-tRNA synthetase exist, a cytoplasmic form, named WARS, and a mitochondrial form, named WARS2. Tryptophanyl-tRNA synthetase (WARS) catalyzes the aminoacylation of tRNA(trp) with tryptophan and is induced by interferon. Tryptophanyl-tRNA synthetase belongs to the class I tRNA synthetase family. Four transcript variants encoding two different isoforms have been found for this gene.
Purification Method
Affinity purification
Gene ID
7453
Buffer Information
Store at -20℃. Avoid freeze / thaw cycles. Buffer: PBS containing 50% glycerol and 0.05% BSA, preserved with proclin300 or sodium azide, pH 7.3.
Western blot analysis of lysates from U-937 cells using Tryptophanyl-tRNA synthetase 1 Rabbit mAb (CAB22440) at 1:1000 dilution incubated overnight at 4℃. Secondary antibody: HRP-conjugated Goat anti-Rabbit IgG (H+L) (CABS014) at 1:10000 dilution. Lysates/proteins: 25 μg per lane. Blocking buffer: 3% nonfat dry milk in TBST. Detection: ECL Basic Kit (AbGn00020). Exposure time: 30s.
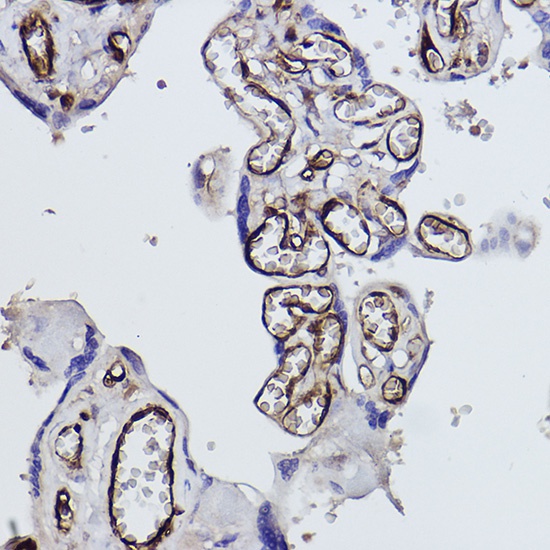
Immunohistochemistry analysis of paraffin-embedded Human placenta using Tryptophanyl-tRNA synthetase 1 Rabbit mAb (CAB22440) at dilution of 1:100 (40x lens). High pressure antigen retrieval performed with 0.01M Citrate buffer (pH 6.0) prior to IHC staining.