The TSHB Antibody (CAB14523) is a high-quality antibody developed for reliable detection and analysis of target proteins. This antibody, produced in rabbits, exhibits strong reactivity with human samples and has been validated for use in Western blotting applications. By targeting the TSHB protein, researchers can accurately detect and analyze its expression in different cell types, making it an ideal tool for investigations in endocrinology and hormone regulation.TSHB is a critical component of the pituitary-thyroid axis, playing a key role in the synthesis and release of thyroid hormones that regulate metabolism and growth.
This antibody is validated for use in WB, ELISA applications and has demonstrated reactivity against Human, Mouse, Rat samples.
Product Name:
TSHB Antibody
SKU:
CAB14523
Size:
20μL, 100μL
Reactivity:
Human, Mouse, Rat
Conjugate:
Unconjugated
Immunogen:
Synthetic peptide. This information is considered to be commercially sensitive.
Recommended starting concentration is 1 μg/mL. Please optimize the concentration based on your specific assay requirements.
Synonyms:
TSH-B, TSH-BETA, TSHB
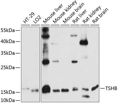
Positive Sample:
HT-29, LO2, Mouse liver, Mouse kidney, Mouse brain, Rat liver, Rat kidney, Rat brain
Cellular Localization:
Secreted.
Calculated MW:
16kDa
Observed MW:
16kDa
The four human glycoprotein hormones chorionic gonadotropin (CG), luteinizing hormone (LH), follicle stimulating hormone (FSH), and thyroid stimulating hormone (TSH) are dimers consisting of alpha and beta subunits that are associated noncovalently. The alpha subunits of these hormones are identical, however, their beta chains are unique and confer biological specificity. Thyroid stimulating hormone functions in the control of thyroid structure and metabolism. The protein encoded by this gene is the beta subunit of thyroid stimulating hormone. Mutations in this gene are associated with congenital central and secondary hypothyroidism and Hashimoto's thyroiditis. Alternative splicing of this gene results in multiple transcript variants.
Purification Method
Affinity purification
Gene ID
7252
RRID
AB_2761399
Buffer Information
Store at -20℃. Avoid freeze / thaw cycles. Buffer: PBS with 0.01% thimerosal,50% glycerol,pH7.3.
Western blot analysis of various lysates using TSHB Rabbit pAb (CAB14523) at 1:1000 dilution. Secondary antibody: HRP-conjugated Goat anti-Rabbit IgG (H+L) (CABS014) at 1:10000 dilution. Lysates/proteins: 25μg per lane. Blocking buffer: 3% nonfat dry milk in TBST. Detection: ECL Basic Kit (AbGn00020). Exposure time: 10s.