The TTF1 Monoclonal Antibody (CAB22248) is a high-quality antibody developed for reliable detection and analysis of target proteins. This antibody, derived from mouse monoclonal cells, boasts high specificity and sensitivity for detecting TTF1 in a variety of samples, including human tissues and cell lines.TTF1 plays a crucial role in regulating gene expression in the lungs and thyroid, making it a key player in respiratory and thyroid diseases. By using the TTF1 Monoclonal Antibody, researchers can accurately quantify and analyze TTF1 expression levels in different experimental conditions, shedding light on its function and potential as a therapeutic target.
This antibody is validated for use in IHC-P, ELISA applications and has demonstrated reactivity against Human, Mouse, Rat samples.
Product Name:
TTF1 Monoclonal Antibody
SKU:
CAB22248
Size:
20μL, 100μL
Reactivity:
Human, Mouse, Rat
Clone Number:
ARC2744
Conjugate:
Unconjugated
Immunogen:
Recombinant protein (or fragment).This information is considered to be commercially sensitive.
This gene encodes a protein initially identified as a thyroid-specific transcription factor. The encoded protein binds to the thyroglobulin promoter and regulates the expression of thyroid-specific genes but has also been shown to regulate the expression of genes involved in morphogenesis. Mutations and deletions in this gene are associated with benign hereditary chorea, choreoathetosis, congenital hypothyroidism, and neonatal respiratory distress, and may be associated with thyroid cancer. Multiple transcript variants encoding different isoforms have been found for this gene. This gene shares the symbol/alias 'TTF1' with another gene, transcription termination factor 1, which plays a role in ribosomal gene transcription.
Purification Method
Affinity purification
Gene ID
7080
Buffer Information
Store at -20℃. Avoid freeze / thaw cycles. Buffer: PBS containing 50% glycerol and 0.05% BSA, preserved with proclin300 or sodium azide, pH 7.3.
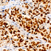
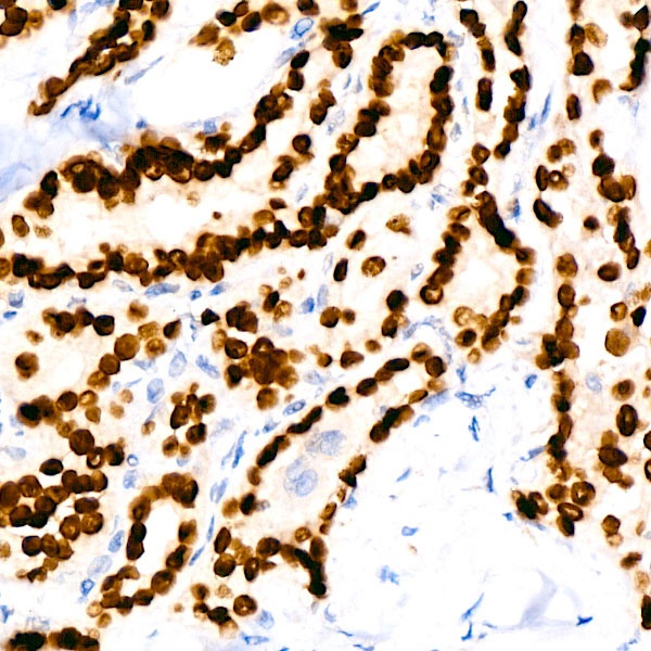
Immunohistochemistry analysis of paraffin-embedded Human lung adenocarcinoma using NKX2-1 Rabbit mAb (CAB22248) at dilution of 1:100 (40x lens). High pressure antigen retrieval performed with 0.01M Citrate buffer (pH 6.0) prior to IHC staining.
Immunohistochemistry analysis of paraffin-embedded Human thyroid cancer using NKX2-1 Rabbit mAb (CAB22248) at dilution of 1:100 (40x lens). High pressure antigen retrieval performed with 0.01M Citrate buffer (pH 6.0) prior to IHC staining.
Immunohistochemistry analysis of paraffin-embedded Mouse lung using NKX2-1 Rabbit mAb (CAB22248) at dilution of 1:100 (40x lens). High pressure antigen retrieval performed with 0.01M Citrate buffer (pH 6.0) prior to IHC staining.