The TTF1 Monoclonal Antibody (CAB3292) is a high-quality antibody developed for reliable detection and analysis of target proteins. This antibody is produced in rabbits and is optimized for Western blot applications in human samples. TTF1 is a key transcription factor involved in the development and differentiation of thyroid and lung cells. It is also implicated in the regulation of genes related to pulmonary and thyroid function. The Anti-TTF1 Antibody binds specifically to TTF1, allowing for the detection and analysis of this important protein in various cell types.
This antibody is validated for use in WB, IHC-P, ELISA, IF-P applications and has demonstrated reactivity against Human, Mouse, Rat samples.
Product Name:
TTF1 Monoclonal Antibody
SKU:
CAB3292
Size:
20μL, 100μL
Reactivity:
Human, Mouse, Rat
Clone Number:
ARC1942
Conjugate:
Unconjugated
Immunogen:
Synthetic peptide. This information is considered to be commercially sensitive.
This gene encodes a protein initially identified as a thyroid-specific transcription factor. The encoded protein binds to the thyroglobulin promoter and regulates the expression of thyroid-specific genes but has also been shown to regulate the expression of genes involved in morphogenesis. Mutations and deletions in this gene are associated with benign hereditary chorea, choreoathetosis, congenital hypothyroidism, and neonatal respiratory distress, and may be associated with thyroid cancer. Multiple transcript variants encoding different isoforms have been found for this gene. This gene shares the symbol/alias 'TTF1' with another gene, transcription termination factor 1, which plays a role in ribosomal gene transcription.
Purification Method
Affinity purification
Gene ID
7080
Buffer Information
Store at -20℃. Avoid freeze / thaw cycles. Buffer: PBS containing 50% glycerol and 0.05% BSA, preserved with proclin300 or sodium azide, pH 7.3.
Western blot analysis of lysates from Mouse lung using TTF-1 Rabbit mAb (CAB3292) at 1:1000 dilution incubated overnight at 4℃. Secondary antibody: HRP-conjugated Goat anti-Rabbit IgG (H+L) (CABS014) at 1:10000 dilution. Lysates/proteins: 25 μg per lane. Blocking buffer: 3% nonfat dry milk in TBST. Detection: ECL Basic Kit (AbGn00020). Exposure time: 1s.
Immunohistochemistry analysis of paraffin-embedded Human lung adenocarcinoma tissue using NKX2-1 Rabbit mAb (CAB3292) at a dilution of 1:1000 (40x lens). High pressure antigen retrieval performed with 0.01M Tris-EDTA Buffer (pH 9.0) prior to IHC staining.
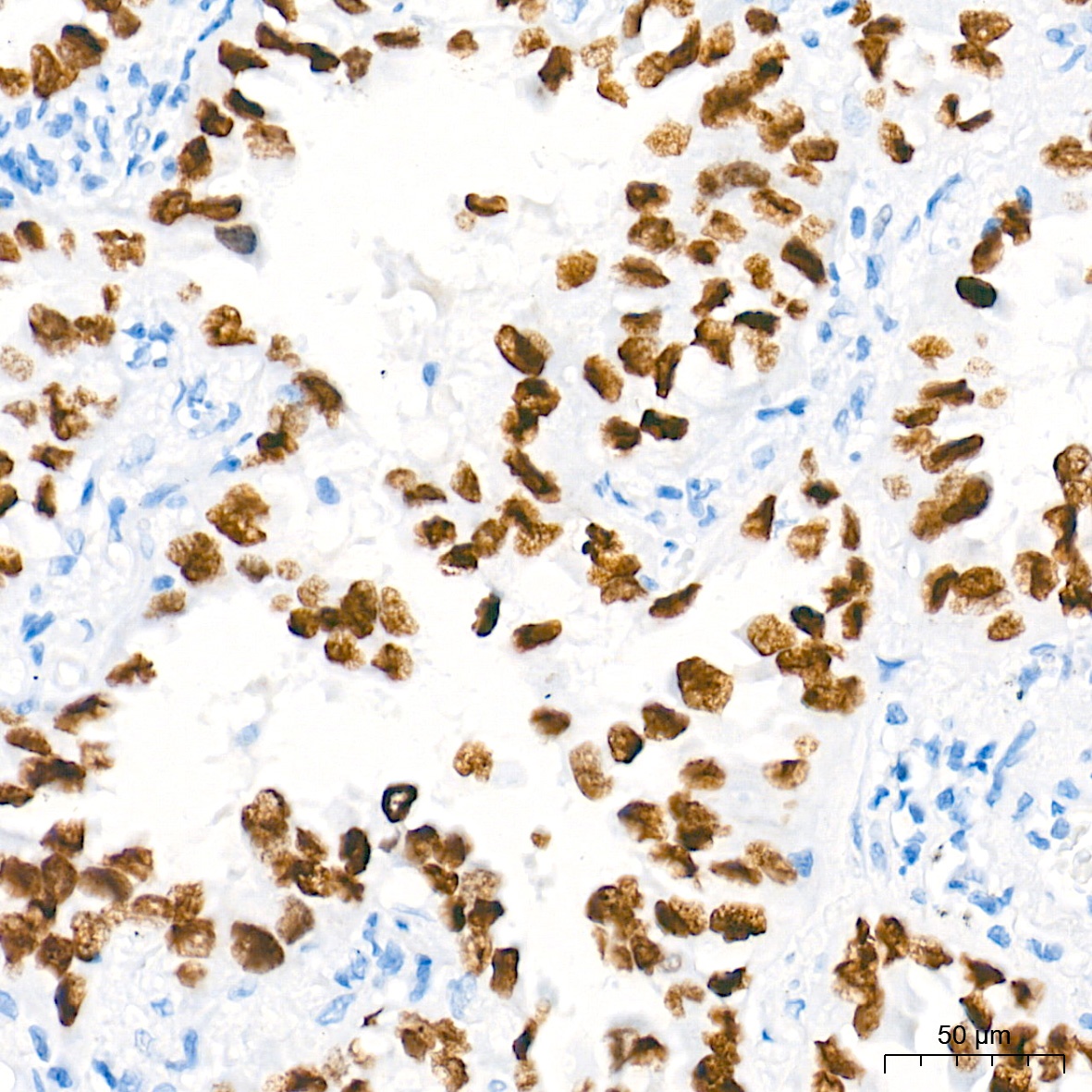
Immunohistochemistry analysis of paraffin-embedded Human thyroid tissue using NKX2-1 Rabbit mAb (CAB3292) at a dilution of 1:1000 (40x lens). High pressure antigen retrieval performed with 0.01M Tris-EDTA Buffer (pH 9.0) prior to IHC staining.
Immunohistochemistry analysis of paraffin-embedded Mouse lung tissue using NKX2-1 Rabbit mAb (CAB3292) at a dilution of 1:1000 (40x lens). High pressure antigen retrieval performed with 0.01M Tris-EDTA Buffer (pH 9.0) prior to IHC staining.
Confocal imaging of paraffin-embedded Mouse thyroid using NKX2-1 Rabbit mAb (CAB3292,dilution 1:200) followed by a further incubation with Cy3 Goat Anti-Rabbit IgG (H+L) (CABS007,dilution 1:500)(Red).DAPI was used for nuclear staining (Blue). Objective: 40x. Perform high pressure antigen retrieval with 0.01 M citRate buffer (pH 6.0) prior to IF staining.
Confocal imaging of paraffin-embedded Human thyroid using NKX2-1 Rabbit mAb (CAB3292,dilution 1:200) followed by a further incubation with Cy3 Goat Anti-Rabbit IgG (H+L) (CABS007,dilution 1:500)(Red).DAPI was used for nuclear staining (Blue). Objective: 40x. Perform high pressure antigen retrieval with 0.01 M citRate buffer (pH 6.0) prior to IF staining.