The TTLL12 Polyclonal Antibody is a valuable tool for researchers studying TTLL12, a tubulin tyrosine ligase-like family member involved in microtubule dynamics and cell division processes. This antibody, produced in rabbits, shows high reactivity with human samples and is suitable for use in Western blot applications. By binding specifically to the TTLL12 protein, this antibody allows for accurate detection and analysis in a variety of cell types, making it ideal for investigations in cell biology and cancer research.
TTLL12 plays a crucial role in maintaining proper microtubule function, which is essential for processes such as cell division and intracellular transport. Dysregulation of TTLL12 has been implicated in various diseases, including cancer and neurodegenerative disorders, highlighting the importance of studying its function in different cellular contexts. By understanding the role of TTLL12, researchers can potentially uncover new therapeutic targets for the treatment of these conditions.
Product Name:
TTLL12 Polyclonal Antibody
SKU:
CAB21407
Size:
20uL, 100uL
Isotype:
IgG
Host Species:
Rabbit
Reactivity:
Human
Immunogen:
Recombinant fusion protein containing a sequence corresponding to amino acids 485-644 of human TTLL12 (NP_055955.1).
cytoplasm, microtubule organizing center, nucleus, spindle
Calculated MW:
74kDa
Observed MW:
Refer to figures
Enables H4K20me3 modified histone binding activity and tubulin binding activity. Involved in negative regulation of type I interferon-mediated signaling pathway and regulation of mitotic cell cycle. Located in cytoplasm.
Purification Method:
Affinity purification
Gene ID:
23170
Storage Buffer:
Store at -20℃. Avoid freeze / thaw cycles.Buffer: PBS with 0.02% sodium azide,50% glycerol,pH7.3.
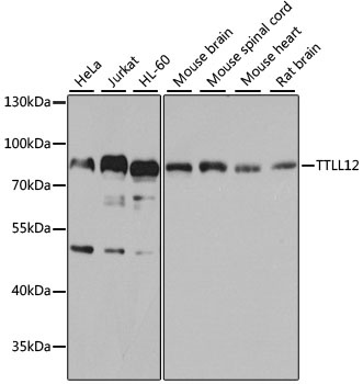
Western blot analysis of extracts of various cell lines, using TTLL12 antibody (CAB21407) at 1:1000 dilution.Secondary antibody: HRP Goat Anti-Rabbit IgG (H+L) (CABS014) at 1:10000 dilution.Lysates/proteins: 25μg per lane.Blocking buffer: 3% nonfat dry milk in TBST.Detection: ECL Basic Kit (AbGn00020).Exposure time: 30s.