The TUFM Antibody (CAB6423) is a high-quality antibody developed for reliable detection and analysis of target proteins. This antibody, produced in rabbits, demonstrates high reactivity with human samples and is validated for use in Western blot applications. By binding specifically to the TUFM protein, researchers can accurately detect and analyze its expression in various cell types, making it ideal for investigations in mitochondrial biology and related fields.TUFM, also known as mitochondrial Tu translation elongation factor, plays a crucial role in the translation of mitochondrial genes and the maintenance of mitochondrial function. Dysregulation of TUFM has been associated with various metabolic disorders and mitochondrial dysfunction, highlighting its importance in cellular energy metabolism.
This antibody is validated for use in WB, IHC-P, IF/ICC, IP, ELISA applications and has demonstrated reactivity against Human, Mouse, Rat samples.
Product Name:
TUFM Antibody
SKU:
CAB6423
Size:
20μL, 100μL
Reactivity:
Human, Mouse, Rat
Conjugate:
Unconjugated
Immunogen:
Recombinant protein (or fragment).This information is considered to be commercially sensitive.
0.5μg-4μg antibody for 200μg-400μg extracts of whole cells
ELISA
Recommended starting concentration is 1 μg/mL. Please optimize the concentration based on your specific assay requirements.
Synonyms:
P43, EFTU, COXPD4, EF-TuMT, TUFM
Positive Sample:
Jurkat, HeLa
Cellular Localization:
Mitochondrion.
Calculated MW:
50kDa
Observed MW:
49kDa
This gene encodes a protein which participates in protein translation in mitochondria. Mutations in this gene have been associated with combined oxidative phosphorylation deficiency resulting in lactic acidosis and fatal encephalopathy. A pseudogene has been identified on chromosome 17.
Purification Method
Affinity purification
Gene ID
7284
RRID
AB_2767025
Buffer Information
Store at -20℃. Avoid freeze / thaw cycles. Buffer: PBS containing 50% glycerol, preserved with proclin300 or sodium azide, pH 7.3.
Western blot analysis of various lysates using TUFM Rabbit pAb (CAB6423) at 1:1000 dilution. Secondary antibody: HRP-conjugated Goat anti-Rabbit IgG (H+L) (CABS014) at 1:10000 dilution. Lysates/proteins: 25μg per lane. Blocking buffer: 3% nonfat dry milk in TBST. Detection: ECL Basic Kit (AbGn00020). Exposure time: 1s.
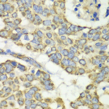
Immunohistochemistry analysis of paraffin-embedded Human esophageal cancer using TUFM Rabbit pAb (CAB6423) at dilution of 1:100 (40x lens). Microwave antigen retrieval performed with 0.01M PBS Buffer (pH 7.2) prior to IHC staining.
Confocal immunofluorescence analysis of U2OS cells using TUFM Rabbit pAb (CAB6423) at dilution of 1:100. Blue: DAPI for nuclear staining.
Immunoprecipitation analysis of 200 μg extracts of 293T cells, using 3 μg TUFM antibody (CAB6423). Western blot was performed from the immunoprecipitate using TUFM antibody (CAB6423) at a dilution of 1:1000.