The TPD52 Antibody (CAB10254) is a high-quality antibody developed for reliable detection and analysis of target proteins. This antibody, produced in rabbits, is highly specific to human samples and has been validated for use in Western blot applications. It binds to the Tumor Protein D52, allowing for precise detection and analysis in a variety of cell types, making it an essential tool for studies in cancer biology and oncology research.
This antibody is validated for use in WB, IHC-P, ELISA applications and has demonstrated reactivity against Human, Mouse, Rat samples.
Product Name:
TPD52 Antibody
SKU:
CAB10254
Size:
20μL, 100μL
Reactivity:
Human, Mouse, Rat
Conjugate:
Unconjugated
Immunogen:
Recombinant protein (or fragment).This information is considered to be commercially sensitive.
Recommended starting concentration is 1 μg/mL. Please optimize the concentration based on your specific assay requirements.
Synonyms:
D52, N8L, PC-1, PrLZ, hD52, TPD52
Positive Sample:
MCF7, HeLa, HT-29, A375
Cellular Localization:
Cytoplasm, Endoplasmic Reticulum, Perinuclear Region Of Cytoplasm.
Calculated MW:
24kDa
Observed MW:
26kDa
Enables calcium ion binding activity and protein homodimerization activity. Involved in B cell differentiation. Located in endoplasmic reticulum and perinuclear region of cytoplasm.
Purification Method
Affinity purification
Gene ID
7163
RRID
AB_2757781
Buffer Information
Store at -20℃. Avoid freeze / thaw cycles. Buffer: PBS containing 50% glycerol, preserved with proclin300 or sodium azide, pH 7.3.
Western blot analysis of various lysates using TPD52 Rabbit pAb (CAB10254) at 1:1000 dilution. Secondary antibody: HRP-conjugated Goat anti-Rabbit IgG (H+L) (CABS014) at 1:10000 dilution. Lysates/proteins: 25μg per lane. Blocking buffer: 3% nonfat dry milk in TBST. Detection: ECL Basic Kit (AbGn00020). Exposure time: 10s.
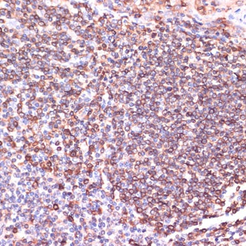
Immunohistochemistry analysis of paraffin-embedded Human tonsil using TPD52 Rabbit pAb (CAB10254) at dilution of 1:100 (40x lens). Microwave antigen retrieval performed with 0.01M PBS Buffer (pH 7.2) prior to IHC staining.