The TXNDC9 Antibody (CAB9676) is a high-quality antibody developed for reliable detection and analysis of target proteins. This antibody, generated in rabbits, exhibits high specificity and sensitivity for detecting TXNDC9 in human samples, making it ideal for use in Western blot applications.TXNDC9, also known as thioredoxin domain-containing protein 9, plays a crucial role in maintaining cellular redox balance and regulating various signaling pathways. Dysregulation of TXNDC9 has been implicated in the pathogenesis of certain diseases, including cancer and neurodegenerative disorders.
This antibody is validated for use in WB, IHC-P, ELISA applications and has demonstrated reactivity against Human, Mouse, Rat samples.
Product Name:
TXNDC9 Antibody
SKU:
CAB9676
Size:
20μL, 100μL
Reactivity:
Human, Mouse, Rat
Conjugate:
Unconjugated
Immunogen:
Recombinant protein (or fragment).This information is considered to be commercially sensitive.
The protein encoded by this gene is a member of the thioredoxin family. The exact function of this protein is not known but it is associated with cell differentiation.
Purification Method
Affinity purification
Gene ID
10190
RRID
AB_2772764
Buffer Information
Store at -20℃. Avoid freeze / thaw cycles. Buffer: PBS with 0.01% thimerosal,50% glycerol,pH7.3.
Western blot analysis of various lysates using TXNDC9 Rabbit pAb (CAB9676) at 1:3000 dilution. Secondary antibody: HRP-conjugated Goat anti-Rabbit IgG (H+L) (CABS014) at 1:10000 dilution. Lysates/proteins: 25μg per lane. Blocking buffer: 3% nonfat dry milk in TBST. Detection: ECL Basic Kit (AbGn00020). Exposure time: 30s.
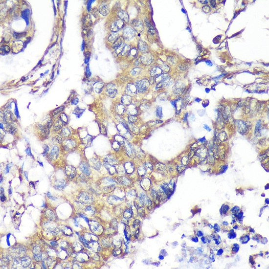
Immunohistochemistry analysis of paraffin-embedded Human colon carcinoma using TXNDC9 Rabbit pAb (CAB9676) at dilution of 1:100 (40x lens). Microwave antigen retrieval performed with 0.01M PBS Buffer (pH 7.2) prior to IHC staining.