The Thioredoxin reductase 1 (TXNRD1 ) Monoclonal Antibody (CAB4725) is a high-quality antibody developed for reliable detection and analysis of target proteins. The antibody, developed in rabbits, exhibits high specificity and sensitivity towards human samples, making it an excellent choice for Western blot applications.TXNRD1 is a crucial enzyme involved in maintaining cellular redox balance and protecting cells from oxidative stress. Dysregulation of TXNRD1 has been linked to various diseases, including cancer, neurodegenerative disorders, and cardiovascular diseases.
This antibody is validated for use in WB, ELISA applications and has demonstrated reactivity against Human, Mouse, Rat samples.
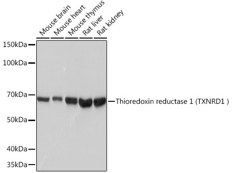
HeLa, A-549, MCF7, Jurkat, Mouse brain, Mouse heart, Mouse thymus, Rat liver, Rat kidney
Cellular Localization:
Cytoplasm, Nucleus.
Calculated MW:
71kDa
Observed MW:
60kDa
The protein encoded by this gene belongs to the pyridine nucleotide-disulfide oxidoreductase family, and is a member of the thioredoxin (Trx) system. Three thioredoxin reductase (TrxR) isozymes are found in mammals. TrxRs are selenocysteine-containing flavoenzymes, which reduce thioredoxins, as well as other substrates, and play a key role in redox homoeostasis. This gene encodes an ubiquitously expressed, cytosolic form of TrxR, which functions as a homodimer containing FAD, and selenocysteine (Sec) at the active site. Sec is encoded by UGA codon that normally signals translation termination. The 3' UTRs of selenoprotein mRNAs contain a conserved stem-loop structure, the Sec insertion sequence (SECIS) element, which is necessary for the recognition of UGA as a Sec codon rather than as a stop signal. Alternative splicing, primarily at the 5' end, results in transcript variants encoding same or different isoforms, including a glutaredoxin-containing isoform that is predominantly expressed in testis.
Purification Method
Affinity purification
Gene ID
7296
RRID
AB_2863332
Buffer Information
Store at -20℃. Avoid freeze / thaw cycles. Buffer: PBS containing 50% glycerol and 0.05% BSA, preserved with proclin300 or sodium azide, pH 7.3.
Western blot analysis of various lysates using Human Thioredoxin Reductase 1/TRXR1 Rabbit mAb (CAB4725) at 1:1000 dilution. Secondary antibody: HRP-conjugated Goat anti-Rabbit IgG (H+L) (CABS014) at 1:10000 dilution. Lysates/proteins: 25μg per lane. Blocking buffer: 3% nonfat dry milk in TBST. Detection: ECL Basic Kit (AbGn00020). Exposure time: 10s.
Western blot analysis of various lysates using Human Thioredoxin Reductase 1/TRXR1 Rabbit mAb (CAB4725) at 1:1000 dilution. Secondary antibody: HRP-conjugated Goat anti-Rabbit IgG (H+L) (CABS014) at 1:10000 dilution. Lysates/proteins: 25μg per lane. Blocking buffer: 3% nonfat dry milk in TBST. Detection: ECL Basic Kit (AbGn00020). Exposure time: 30s.