The UBA5 Antibody (CAB15514) is a high-quality antibody developed for reliable detection and analysis of target proteins. This antibody, produced in rabbits, has been rigorously tested and validated for use in Western blot applications with human samples.UBA5 is a key enzyme involved in the process of ufmylation, a post-translational modification that regulates protein stability, localization, and function. Dysregulation of ufmylation has been linked to various diseases, including cancer, neurodegenerative disorders, and cardiovascular diseases.
This antibody is validated for use in WB, IHC-P, ELISA applications and has demonstrated reactivity against Human, Mouse, Rat samples.
Product Name:
UBA5 Antibody
SKU:
CAB15514
Size:
20μL, 100μL
Reactivity:
Human, Mouse, Rat
Conjugate:
Unconjugated
Immunogen:
Recombinant protein (or fragment).This information is considered to be commercially sensitive.
Recommended starting concentration is 1 μg/mL. Please optimize the concentration based on your specific assay requirements.
Synonyms:
DEE44, EIEE44, SCAR24, THIFP1, UBE1DC1, UBA5
Positive Sample:
HT-29, A-549, Jurkat, HeLa, Mouse brain
Cellular Localization:
Cytoplasm, Nucleus.
Calculated MW:
45kDa
Observed MW:
50kDa
This gene encodes a member of the E1-like ubiquitin-activating enzyme family. This protein activates ubiquitin-fold modifier 1, a ubiquitin-like post-translational modifier protein, via the formation of a high-energy thioester bond. Alternative splicing results in multiple transcript variants. A pseudogene of this gene has been identified on chromosome 1.
Purification Method
Affinity purification
Gene ID
79876
RRID
AB_2762915
Buffer Information
Store at -20℃. Avoid freeze / thaw cycles. Buffer: PBS with 0.01% thimerosal,50% glycerol,pH7.3.
Western blot analysis of various lysates using UBA5 Rabbit pAb (CAB15514) at 1:1000 dilution. Secondary antibody: HRP-conjugated Goat anti-Rabbit IgG (H+L) (CABS014) at 1:10000 dilution. Lysates/proteins: 25μg per lane. Blocking buffer: 3% nonfat dry milk in TBST. Detection: ECL Basic Kit (AbGn00020). Exposure time: 15s.
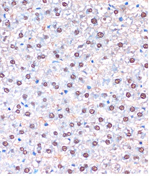
Immunohistochemistry analysis of paraffin-embedded Rat liver using UBA5 Rabbit pAb (CAB15514) at dilution of 1:100 (40x lens). Microwave antigen retrieval performed with 0.01M PBS Buffer (pH 7.2) prior to IHC staining.