The UBE2D4 Antibody (CAB8332) is a high-quality antibody developed for reliable detection and analysis of target proteins. This antibody, produced in rabbits, exhibits high specificity for human samples and has been rigorously validated for Western blot applications. By binding to the UBE2D4 protein, this antibody allows for precise detection and analysis in a variety of cell types, making it an invaluable resource for investigations in areas such as molecular biology and cancer research.UBE2D4, also known as ubiquitin-conjugating enzyme E2D 4, plays a central role in the ubiquitination process, a mechanism essential for protein degradation and regulation within cells.
This antibody is validated for use in WB, ELISA applications and has demonstrated reactivity against Human, Mouse, Rat samples.
Product Name:
UBE2D4 Antibody
SKU:
CAB8332
Size:
20μL, 100μL
Reactivity:
Human, Mouse, Rat
Conjugate:
Unconjugated
Immunogen:
Recombinant protein (or fragment).This information is considered to be commercially sensitive.
Recommended starting concentration is 1 μg/mL. Please optimize the concentration based on your specific assay requirements.
Synonyms:
HBUCE1, UBE2D4
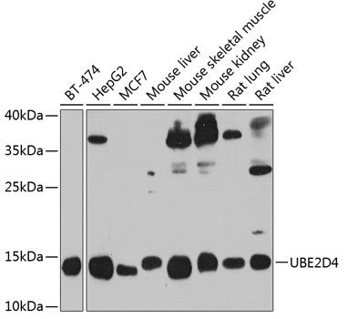
Positive Sample:
BT-474, HepG2, MCF7, Mouse liver, Mouse skeletal muscle, Mouse kidney, Rat lung, Rat liver
Cellular Localization:
Nucleus.
Calculated MW:
17kDa
Observed MW:
17kDa
Enables ubiquitin conjugating enzyme activity. Involved in protein polyubiquitination. Acts upstream of or within protein ubiquitination. Predicted to be part of ubiquitin ligase complex. Predicted to be active in nucleus.
Purification Method
Affinity purification
Gene ID
51619
RRID
AB_2772774
Buffer Information
Store at -20℃. Avoid freeze / thaw cycles. Buffer: PBS containing 50% glycerol, preserved with proclin300 or sodium azide, pH 7.3.
Western blot analysis of various lysates using UBE2D4 Rabbit pAb (CAB8332) at 1:1000 dilution. Secondary antibody: HRP-conjugated Goat anti-Rabbit IgG (H+L) (CABS014) at 1:10000 dilution. Lysates/proteins: 25μg per lane. Blocking buffer: 3% nonfat dry milk in TBST. Detection: ECL Enhanced Kit (AbGn00021). Exposure time: 30s.