The UBE2R2 Antibody (CAB7373) is a high-quality antibody developed for reliable detection and analysis of target proteins. This antibody, generated in rabbits, exhibits high specificity and sensitivity towards human samples, making it an ideal choice for Western blot applications. By targeting the UBE2R2 protein, this antibody enables precise detection and analysis in a variety of cell types, facilitating studies in cell biology, protein degradation, and disease mechanisms.UBE2R2, also known as ubiquitin-conjugating enzyme E2R2, is involved in the transfer of ubiquitin molecules to target proteins, marking them for degradation by the proteasome.
This antibody is validated for use in WB, IF/ICC, ELISA applications and has demonstrated reactivity against Human, Mouse, Rat samples.
Product Name:
UBE2R2 Antibody
SKU:
CAB7373
Size:
20μL, 100μL
Reactivity:
Human, Mouse, Rat
Conjugate:
Unconjugated
Immunogen:
Recombinant protein (or fragment).This information is considered to be commercially sensitive.
Recommended starting concentration is 1 μg/mL. Please optimize the concentration based on your specific assay requirements.
Synonyms:
UBC3B, CDC34B, E2-CDC34B, UBE2R2
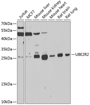
Positive Sample:
Jurkat, MCF7, Mouse liver, Mouse kidney, Mouse heart, Rat brain, Rat lung
Cellular Localization:
Cytosol.
Calculated MW:
27kDa
Observed MW:
27kDa
Protein kinase CK2 is a ubiquitous and pleiotropic Ser/Thr protein kinase involved in cell growth and transformation. This gene encodes a protein similar to the E2 ubiquitin conjugating enzyme UBC3/CDC34. Studies suggest that CK2-dependent phosphorylation of this ubiquitin-conjugating enzyme functions by regulating beta-TrCP substrate recognition and induces its interaction with beta-TrCP, enhancing beta-catenin degradation.
Purification Method
Affinity purification
Gene ID
54926
RRID
AB_2767906
Buffer Information
Store at -20℃. Avoid freeze / thaw cycles. Buffer: PBS containing 50% glycerol, preserved with proclin300 or sodium azide, pH 7.3.
Western blot analysis of various lysates using UBE2R2 Rabbit pAb (CAB7373) at 1:1000 dilution. Secondary antibody: HRP-conjugated Goat anti-Rabbit IgG (H+L) (CABS014) at 1:10000 dilution. Lysates/proteins: 25μg per lane. Blocking buffer: 3% nonfat dry milk in TBST. Detection: ECL Enhanced Kit (AbGn00021). Exposure time: 30s.
Immunofluorescence analysis of A549 cells using UBE2R2 Rabbit pAb (CAB7373).Secondary antibody: Cy3-conjugated Goat anti-Rabbit IgG (H+L) (CABS007) at 1:500 dilution.