The UGGT1 Antibody (CAB4866) is a high-quality antibody developed for reliable detection and analysis of target proteins. This antibody, generated in rabbits, exhibits high specificity for human samples and is suitable for Western blotting applications.Recognizing and binding to the UGGT1 enzyme, this antibody enables precise detection and analysis of UGGT1 levels in diverse cell types. This feature makes it an essential reagent for research in cell biology, protein quality control, and ER stress response pathways.The UGGT1 enzyme is crucial for maintaining protein homeostasis and preventing misfolded protein accumulation, making it a key player in cellular processes related to protein folding and degradation.
This antibody is validated for use in WB, ELISA applications and has demonstrated reactivity against Human, Mouse, Rat samples.
Product Name:
UGGT1 Antibody
SKU:
CAB4866
Size:
20μL, 100μL
Reactivity:
Human, Mouse, Rat
Conjugate:
Unconjugated
Immunogen:
Recombinant protein (or fragment).This information is considered to be commercially sensitive.
UDP-glucose:glycoprotein glucosyltransferase (UGT) is a soluble protein of the endoplasmic reticulum (ER) that selectively reglucosylates unfolded glycoproteins, thus providing quality control for protein transport out of the ER.
Purification Method
Affinity purification
Gene ID
56886
RRID
AB_2765910
Buffer Information
Store at -20℃. Avoid freeze / thaw cycles. Buffer: PBS containing 50% glycerol, preserved with proclin300 or sodium azide, pH 7.3.
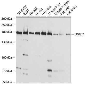
Western blot analysis of various lysates using UGGT1 Rabbit pAb (CAB4866) at 1:1000 dilution. Secondary antibody: HRP-conjugated Goat anti-Rabbit IgG (H+L) (CABS014) at 1:10000 dilution. Lysates/proteins: 25μg per lane. Blocking buffer: 3% nonfat dry milk in TBST. Detection: ECL Basic Kit (AbGn00020). Exposure time: 10s.