The UGT2B10 Antibody (CAB7570) is a high-quality antibody developed for reliable detection and analysis of target proteins. This antibody, produced in rabbits, is highly specific for human samples and has been validated for use in various applications including Western blotting.UGT2B10 is a key enzyme involved in the glucuronidation process, which plays a critical role in the elimination of drugs, toxins, and other foreign compounds from the body. Research into the function and regulation of UGT2B10 is essential for understanding how drugs are metabolized and cleared, as well as for developing strategies to optimize drug efficacy and reduce toxicity.
This antibody is validated for use in WB, ELISA applications and has demonstrated reactivity against Human, Mouse, Rat samples.
Product Name:
UGT2B10 Antibody
SKU:
CAB7570
Size:
20μL, 100μL
Reactivity:
Human, Mouse, Rat
Conjugate:
Unconjugated
Immunogen:
Recombinant protein (or fragment).This information is considered to be commercially sensitive.
Predicted to be involved in lipid metabolic process. Predicted to be located in endoplasmic reticulum membrane. Predicted to be integral component of membrane. Predicted to be active in intracellular membrane-bounded organelle.
Purification Method
Affinity purification
Gene ID
7365
RRID
AB_2768093
Buffer Information
Store at -20℃. Avoid freeze / thaw cycles. Buffer: PBS containing 50% glycerol, preserved with proclin300 or sodium azide, pH 7.3.
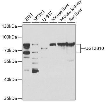
Western blot analysis of various lysates using UGT2B10 Rabbit pAb (CAB7570) at 1:1000 dilution. Secondary antibody: HRP-conjugated Goat anti-Rabbit IgG (H+L) (CABS014) at 1:10000 dilution. Lysates/proteins: 25μg per lane. Blocking buffer: 3% nonfat dry milk in TBST. Detection: ECL Basic Kit (AbGn00020). Exposure time: 90s.