The UGT3A2 Antibody (CAB7611) is a high-quality antibody developed for reliable detection and analysis of target proteins. This antibody, raised in rabbits, exhibits high reactivity with human samples and has been validated for use in various applications including Western blot and immunohistochemistry.UGT3A2, a member of the UDP-glucuronosyltransferase family, is known for its role in detoxification processes within the liver and other tissues. Understanding the expression and function of UGT3A2 is essential for studying drug metabolism, toxicology, and drug-drug interactions.
This antibody is validated for use in WB, ELISA applications and has demonstrated reactivity against Human, Mouse, Rat samples.
Product Name:
UGT3A2 Antibody
SKU:
CAB7611
Size:
20μL, 100μL
Reactivity:
Human, Mouse, Rat
Conjugate:
Unconjugated
Immunogen:
Recombinant protein (or fragment).This information is considered to be commercially sensitive.
Recommended starting concentration is 1 μg/mL. Please optimize the concentration based on your specific assay requirements.
Synonyms:
UGT3A2
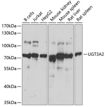
Positive Sample:
B cells, Jurkat, HepG2, Mouse kidney, Mouse spleen, Rat liver, Rat spleen
Cellular Localization:
Membrane, Single-Pass Type I Membrane Protein.
Calculated MW:
60kDa
Observed MW:
75kDa
Enables UDP-glycosyltransferase activity. Acts upstream of or within cellular response to genistein. Predicted to be integral component of membrane. Predicted to be active in intracellular membrane-bounded organelle.
Purification Method
Affinity purification
Gene ID
167127
RRID
AB_2768130
Buffer Information
Store at -20℃. Avoid freeze / thaw cycles. Buffer: PBS containing 50% glycerol, preserved with proclin300 or sodium azide, pH 7.3.
Western blot analysis of various lysates using UGT3A2 Rabbit pAb (CAB7611) at 1:1000 dilution. Secondary antibody: HRP-conjugated Goat anti-Rabbit IgG (H+L) (CABS014) at 1:10000 dilution. Lysates/proteins: 25μg per lane. Blocking buffer: 3% nonfat dry milk in TBST. Detection: ECL Basic Kit (AbGn00020). Exposure time: 1s.