The UNC5B Antibody (CAB14978) is a high-quality antibody developed for reliable detection and analysis of target proteins. This antibody, generated in rabbits, exhibits high reactivity with human samples and is validated for use in Western blot applications. It specifically binds to the UNC5B protein, allowing for detection and analysis in various cell types.UNC5B is a member of the UNC5 family of netrin receptors, which play important roles in neuronal development, angiogenesis, and cancer progression. UNC5B in particular has been implicated in cell migration and survival in various contexts, making it a promising target for studies in neurobiology, cardiovascular research, and oncology.
This antibody is validated for use in WB, ELISA applications and has demonstrated reactivity against Human, Mouse, Rat samples.
Product Name:
UNC5B Antibody
SKU:
CAB14978
Size:
20μL, 100μL
Reactivity:
Human, Mouse, Rat
Conjugate:
Unconjugated
Immunogen:
Recombinant protein (or fragment).This information is considered to be commercially sensitive.
Recommended starting concentration is 1 μg/mL. Please optimize the concentration based on your specific assay requirements.
Synonyms:
UNC5H2, p53RDL1, UNC5B
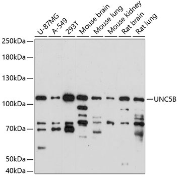
Positive Sample:
U-87MG, A-549, 293T, Mouse brain, Mouse lung, Mouse kidney, Rat brain, Rat lung
Cellular Localization:
Cell Membrane, Membrane Raft, Single-Pass Type I Membrane Protein.
Calculated MW:
104kDa
Observed MW:
104kDa
This gene encodes a member of the netrin family of receptors. This particular protein mediates the repulsive effect of netrin-1 and is a vascular netrin receptor. This encoded protein is also in a group of proteins called dependence receptors (DpRs) which are involved in pro- and anti-apoptotic processes. Many DpRs are involved in embryogenesis and in cancer progression. Two alternatively spliced transcript variants have been described for this gene.
Purification Method
Affinity purification
Gene ID
219699
RRID
AB_2761861
Buffer Information
Store at -20℃. Avoid freeze / thaw cycles. Buffer: PBS with 0.01% thimerosal,50% glycerol,pH7.3.
Western blot analysis of various lysates using UNC5B Rabbit pAb (CAB14978) at 1:1000 dilution. Secondary antibody: HRP-conjugated Goat anti-Rabbit IgG (H+L) (CABS014) at 1:10000 dilution. Lysates/proteins: 25μg per lane. Blocking buffer: 3% nonfat dry milk in TBST. Detection: ECL Enhanced Kit (AbGn00021). Exposure time: 90s.