The USP47 Antibody (CAB15461) is a high-quality antibody developed for reliable detection and analysis of target proteins. This antibody, raised in rabbits, exhibits high specificity and sensitivity for USP47 in human samples, making it suitable for Western blot applications. By binding to USP47, researchers can accurately detect and analyze the enzyme's expression levels in various cell types, facilitating investigations in areas such as cell signaling pathways, protein degradation, and cancer biology.USP47 is critical for maintaining cellular homeostasis by controlling the degradation of proteins involved in key cellular processes, including DNA repair, cell cycle progression, and apoptosis.
This antibody is validated for use in WB, IHC-P, ELISA applications and has demonstrated reactivity against Human, Mouse samples.
Product Name:
USP47 Antibody
SKU:
CAB15461
Size:
20μL, 100μL
Reactivity:
Human, Mouse
Conjugate:
Unconjugated
Immunogen:
Recombinant protein (or fragment).This information is considered to be commercially sensitive.
Recommended starting concentration is 1 μg/mL. Please optimize the concentration based on your specific assay requirements.
Synonyms:
TRFP, USP47
Positive Sample:
Jurkat, HeLa, SGC-7901, Mouse brain
Cellular Localization:
Cytoplasm.
Calculated MW:
157kDa
Observed MW:
180kDa
Enables WD40-repeat domain binding activity and thiol-dependent deubiquitinase. Involved in several processes, including monoubiquitinated protein deubiquitination; negative regulation of G2/M transition of mitotic cell cycle; and negative regulation of nitrogen compound metabolic process. Located in cytoplasm. Part of SCF ubiquitin ligase complex.
Purification Method
Affinity purification
Gene ID
55031
RRID
AB_2762859
Buffer Information
Store at -20℃. Avoid freeze / thaw cycles. Buffer: PBS with 0.01% thimerosal,50% glycerol,pH7.3.
Western blot analysis of various lysates using USP47 Rabbit pAb (CAB15461) at 1:1000 dilution. Secondary antibody: HRP-conjugated Goat anti-Rabbit IgG (H+L) (CABS014) at 1:10000 dilution. Lysates/proteins: 25μg per lane. Blocking buffer: 3% nonfat dry milk in TBST. Detection: ECL Basic Kit (AbGn00020). Exposure time: 60s.
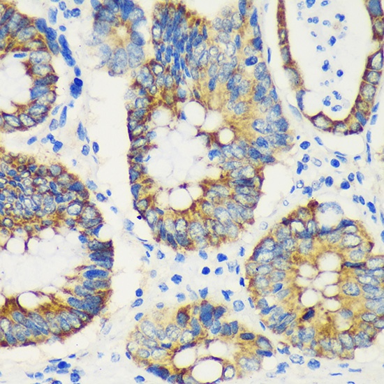
Immunohistochemistry analysis of paraffin-embedded Human colon carcinoma using USP47 Rabbit pAb (CAB15461) at dilution of 1:100 (40x lens). Microwave antigen retrieval performed with 0.01M PBS Buffer (pH 7.2) prior to IHC staining.