The UTP6 Antibody (CAB17730) is a high-quality antibody developed for reliable detection and analysis of target proteins. This antibody, produced in rabbits, is highly specific for human samples and has been validated for use in Western blot applications. By binding to the UTP6 protein, this antibody allows for accurate detection and analysis in a variety of cell types, making it well-suited for research in molecular biology and cancer biology.UTP6 is a key player in the production of ribosomes, which are essential for protein synthesis in all cells. Dysregulation of ribosome biogenesis has been linked to a variety of diseases, including cancer and genetic disorders.
This antibody is validated for use in WB, ELISA applications and has demonstrated reactivity against Human, Mouse, Rat samples.
Product Name:
UTP6 Antibody
SKU:
CAB17730
Size:
20μL, 100μL
Reactivity:
Human, Mouse, Rat
Conjugate:
Unconjugated
Immunogen:
Recombinant protein (or fragment).This information is considered to be commercially sensitive.
Recommended starting concentration is 1 μg/mL. Please optimize the concentration based on your specific assay requirements.
Synonyms:
HCA66, C17orf40, UTP6
Positive Sample:
HT-29, HeLa, Mouse lung, Mouse thymus, Mouse spleen, Rat lung, Rat thymus
Cellular Localization:
Nucleolus, Nucleoplasm, Pwp2P-Containing Subcomplex Of 90S Preribosome.
Calculated MW:
70kDa
Observed MW:
70kDa
Predicted to enable snoRNA binding activity. Predicted to be involved in maturation of SSU-rRNA from tricistronic rRNA transcript (SSU-rRNA, 5.8S rRNA, LSU-rRNA). Located in chromosome and nucleolus.
Purification Method
Affinity purification
Gene ID
55813
RRID
AB_2772836
Buffer Information
Store at -20℃. Avoid freeze / thaw cycles. Buffer: PBS with 0.01% thimerosal,50% glycerol,pH7.3.
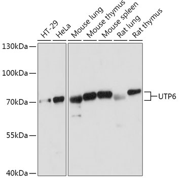
Western blot analysis of various lysates using UTP6 Rabbit pAb (CAB17730) at 1:1000 dilution. Secondary antibody: HRP-conjugated Goat anti-Rabbit IgG (H+L) (CABS014) at 1:10000 dilution. Lysates/proteins: 25μg per lane. Blocking buffer: 3% nonfat dry milk in TBST. Detection: ECL Basic Kit (AbGn00020). Exposure time: 5s.