The Vitronectin Antibody (CAB1667) is a high-quality antibody developed for reliable detection and analysis of target proteins. This antibody, produced in rabbits, demonstrates high reactivity with human samples and has been validated for Western blot applications. By specifically targeting the vitronectin protein, this antibody allows for the detection and analysis of vitronectin in various cell types, making it an excellent choice for studies in cell biology and cancer research.Vitronectin plays a crucial role in various biological processes, including wound healing, tissue remodeling, and angiogenesis.
This antibody is validated for use in WB, IHC-P, ELISA applications and has demonstrated reactivity against Human, Mouse, Rat samples.
Product Name:
Vitronectin Antibody
SKU:
CAB1667
Size:
20μL, 100μL
Reactivity:
Human, Mouse, Rat
Conjugate:
Unconjugated
Immunogen:
Recombinant protein (or fragment).This information is considered to be commercially sensitive.
Recommended starting concentration is 1 μg/mL. Please optimize the concentration based on your specific assay requirements.
Synonyms:
VN, V75, VNT, Vitronectin
Positive Sample:
Human serum, Rat serum
Cellular Localization:
Secreted, Extracellular Space.
Calculated MW:
54kDa
Observed MW:
65kDa,75kDa
The protein encoded by this gene functions in part as an adhesive glycoprotein. Differential expression of this protein can promote either cell adhesion or migration as it links cells to the extracellular matrix through a variety of ligands. These ligands include integrins, plasminogen activator inhibitor-1, and urokinase plasminogen activator receptor. This secreted protein can be present in the plasma as a monomer or dimer and forms a multimer in the extracellular matrix of several tissues. This protein also inhibits the membrane-damaging effect of the terminal cytolytic complement pathway and binds to several serpin serine protease inhibitors. This protein can also promote extracellular matrix degradation and thus plays a role in tumorigenesis. It is involved in a variety of other biological processes such as the regulation of the coagulation pathway, wound healing, and tissue remodeling. The heparin-binding domain of this protein give it anti-microbial properties. It is also a lipid binding protein that forms a principal component of high density lipoprotein.
Purification Method
Affinity purification
Gene ID
7448
RRID
AB_2763722
Buffer Information
Store at -20℃. Avoid freeze / thaw cycles. Buffer: PBS containing 50% glycerol, preserved with proclin300 or sodium azide, pH 7.3.
Western blot analysis of lysates from human serum, using Vitronectin Rabbit pAb (CAB1667) at 1:1000 dilution. Secondary antibody: HRP-conjugated Goat anti-Rabbit IgG (H+L) (CABS014) at 1:10000 dilution. Lysates/proteins: 25μg per lane. Blocking buffer: 3% nonfat dry milk in TBST. Detection: ECL Basic Kit (AbGn00020). Exposure time: 1s.
Western blot analysis of various lysates using Vitronectin Rabbit pAb (CAB1667) at 1:1000 dilution. Secondary antibody: HRP-conjugated Goat anti-Rabbit IgG (H+L) (CABS014) at 1:10000 dilution. Lysates/proteins: 25μg per lane. Blocking buffer: 3% nonfat dry milk in TBST. Detection: ECL Basic Kit (AbGn00020). Exposure time: 20s.
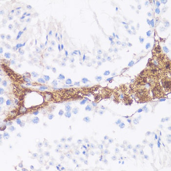
Immunohistochemistry analysis of paraffin-embedded Mouse leydig cells using Vitronectin Rabbit pAb (CAB1667) at dilution of 1:100 (40x lens). Microwave antigen retrieval performed with 0.01M PBS Buffer (pH 7.2) prior to IHC staining.