The WDR48 Antibody (CAB6854) is a high-quality antibody developed for reliable detection and analysis of target proteins. This antibody, produced in rabbits, exhibits high reactivity with human samples and has been validated for use in Western blotting applications. By specifically targeting the WDR48 protein, this antibody facilitates the detection and analysis of WDR48 in different cell types, making it an essential component of studies in molecular biology and cancer research.WDR48 is known to interact with multiple proteins involved in DNA repair pathways, making it a crucial component in maintaining genomic stability and preventing the formation of cancerous cells.
This antibody is validated for use in WB, IHC-P, ELISA applications and has demonstrated reactivity against Human, Mouse, Rat samples.
Product Name:
WDR48 Antibody
SKU:
CAB6854
Size:
20μL, 100μL
Reactivity:
Human, Mouse, Rat
Conjugate:
Unconjugated
Immunogen:
Recombinant protein (or fragment).This information is considered to be commercially sensitive.
Recommended starting concentration is 1 μg/mL. Please optimize the concentration based on your specific assay requirements.
Synonyms:
P80, UAF1, Bun62, SPG60, WDR48
Positive Sample:
U-251MG, A-431, SGC-7901, LO2, A-549, HT-1080, Mouse brain, Rat testis
Cellular Localization:
Cytoplasm, Lysosome, Nucleus.
Calculated MW:
76kDa
Observed MW:
76kDa
The protein encoded by this gene has been shown to interact with ubiquitin specific peptidase 1 (USP1), activating the deubiquitinating activity of USP1 and allowing it to remove the ubiquitin moiety from monoubiquitinated FANCD2. FANCD2 is ubiquitinated in response to DNA damage.
Purification Method
Affinity purification
Gene ID
57599
RRID
AB_2767417
Buffer Information
Store at -20℃. Avoid freeze / thaw cycles. Buffer: PBS containing 50% glycerol, preserved with proclin300 or sodium azide, pH 7.3.
Western blot analysis of various lysates using WDR48 Rabbit pAb (CAB6854) at 1:1000 dilution. Secondary antibody: HRP-conjugated Goat anti-Rabbit IgG (H+L) (CABS014) at 1:10000 dilution. Lysates/proteins: 25μg per lane. Blocking buffer: 3% nonfat dry milk in TBST. Detection: ECL Basic Kit (AbGn00020). Exposure time: 15s.
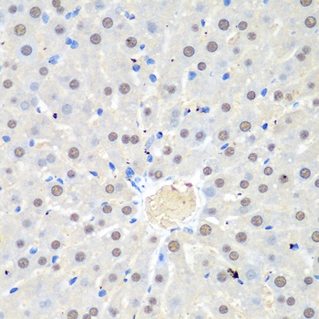
Immunohistochemistry analysis of paraffin-embedded Rat liver using WDR48 Rabbit pAb (CAB6854) at dilution of 1:100 (40x lens). Microwave antigen retrieval performed with 0.01M PBS Buffer (pH 7.2) prior to IHC staining.
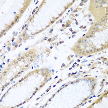
Immunohistochemistry analysis of paraffin-embedded Human stomach using WDR48 Rabbit pAb (CAB6854) at dilution of 1:100 (40x lens). Microwave antigen retrieval performed with 0.01M PBS Buffer (pH 7.2) prior to IHC staining.