The NSD3/WHSC1L1 Antibody (CAB5577) is a high-quality antibody developed for reliable detection and analysis of target proteins. This antibody, produced in rabbits, exhibits high reactivity with human samples and has been rigorously validated for use in Western blot applications. By targeting the WHSC1L1 protein, this antibody enables precise detection and analysis in a variety of cell types, making it an invaluable asset for studies in cancer research and epigenetics.WHSC1L1, also known as MMSET (Multiple Myeloma SET domain), is a key player in chromatin remodeling and gene regulation, with implications in oncogenesis and tumor progression.
This antibody is validated for use in WB, ELISA applications and has demonstrated reactivity against Human, Mouse, Rat samples.
Product Name:
NSD3/WHSC1L1 Antibody
SKU:
CAB5577
Size:
20μL, 100μL
Reactivity:
Human, Mouse, Rat
Conjugate:
Unconjugated
Immunogen:
Recombinant protein (or fragment).This information is considered to be commercially sensitive.
Recommended starting concentration is 1 μg/mL. Please optimize the concentration based on your specific assay requirements.
Synonyms:
KMT3F, KMT3G, WHISTLE, WHSC1L1, pp14328, L1
Positive Sample:
293T
Cellular Localization:
Chromosome, Nucleus.
Calculated MW:
162kDa
Observed MW:
180kDa
This gene is related to the Wolf-Hirschhorn syndrome candidate-1 gene and encodes a protein with PWWP (proline-tryptophan-tryptophan-proline) domains. This protein methylates histone H3 at lysine residues 4 and 27, which represses gene transcription. Two alternatively spliced variants have been described.
Purification Method
Affinity purification
Gene ID
54904
RRID
AB_2766354
Buffer Information
Store at -20℃. Avoid freeze / thaw cycles. Buffer: PBS with 0.09% Sodium azide,50% glycerol,pH7.3.
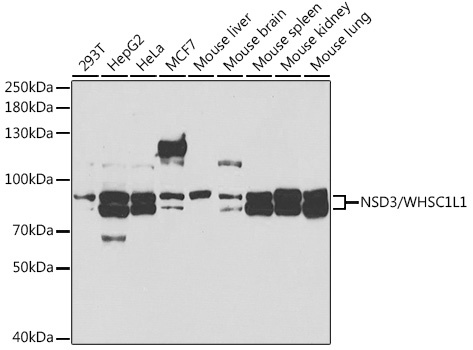
Western blot analysis of various lysates using [KO Validated] NSD3/WHSC1L1 Rabbit pAb (CAB5577) at 1:1000 dilution. Secondary antibody: HRP-conjugated Goat anti-Rabbit IgG (H+L) (CABS014) at 1:10000 dilution. Lysates/proteins: 25μg per lane. Blocking buffer: 3% nonfat dry milk in TBST. Detection: ECL Basic Kit (AbGn00020). Exposure time: 90s.
Western blot analysis of lysates from wild type (WT) and NSD3/WHSC1L1 knockout (KO) 293T cells, using [KO Validated] NSD3/WHSC1L1 Rabbit pAb (CAB5577) at 1:1000 dilution. Secondary antibody: HRP-conjugated Goat anti-Rabbit IgG (H+L) (CABS014) at 1:10000 dilution. Lysates/proteins: 25μg per lane. Blocking buffer: 3% nonfat dry milk in TBST. Detection: ECL Basic Kit (AbGn00020). Exposure time: 30s.