The XRCC4 Antibody (CAB1677) is a high-quality antibody developed for reliable detection and analysis of target proteins. This antibody, produced in rabbits, is highly specific to XRCC4 in human samples and is validated for use in Western blot applications. By binding to XRCC4, this antibody allows for the detection and analysis of XRCC4 in a variety of cell types, making it ideal for studies in fields such as cancer biology and genetic research.XRCC4 is essential for the non-homologous end joining (NHEJ) pathway of DNA repair, playing a crucial role in the repair of DNA double-strand breaks.
This antibody is validated for use in WB, IHC-P, IF/ICC, ELISA applications and has demonstrated reactivity against Human, Rat samples.
Product Name:
XRCC4 Antibody
SKU:
CAB1677
Size:
20μL, 100μL
Reactivity:
Human, Rat
Conjugate:
Unconjugated
Immunogen:
Recombinant protein (or fragment).This information is considered to be commercially sensitive.
Recommended starting concentration is 1 μg/mL. Please optimize the concentration based on your specific assay requirements.
Synonyms:
SSMED, hXRCC4, XRCC4
Positive Sample:
Jurkat, THP-1, Rat testis
Cellular Localization:
Nucleus.
Calculated MW:
38kDa
Observed MW:
55kDa
The protein encoded by this gene functions together with DNA ligase IV and the DNA-dependent protein kinase in the repair of DNA double-strand breaks. This protein plays a role in both non-homologous end joining and the completion of V(D)J recombination. Mutations in this gene can cause short stature, microcephaly, and endocrine dysfunction (SSMED). Alternate transcript variants such as NM_022406 are unlikely to be expressed in some individuals due to a polymorphism (rs1805377) in the last splice acceptor site.
Purification Method
Affinity purification
Gene ID
7518
RRID
AB_2763732
Buffer Information
Store at -20℃. Avoid freeze / thaw cycles. Buffer: PBS containing 50% glycerol, preserved with proclin300 or sodium azide, pH 7.3.
Western blot analysis of various lysates using XRCC4 Rabbit pAb (CAB1677) at 1:1000 dilution. Secondary antibody: HRP-conjugated Goat anti-Rabbit IgG (H+L) (CABS014) at 1:10000 dilution. Lysates/proteins: 25μg per lane. Blocking buffer: 3% nonfat dry milk in TBST. Detection: ECL Enhanced Kit (AbGn00021). Exposure time: 1s.
Western blot analysis of lysates from Rat testis, using XRCC4 Rabbit pAb (CAB1677) at 1:1000 dilution. Secondary antibody: HRP-conjugated Goat anti-Rabbit IgG (H+L) (CABS014) at 1:10000 dilution. Lysates/proteins: 25μg per lane. Blocking buffer: 3% nonfat dry milk in TBST. Detection: ECL Basic Kit (AbGn00020). Exposure time: 6s.
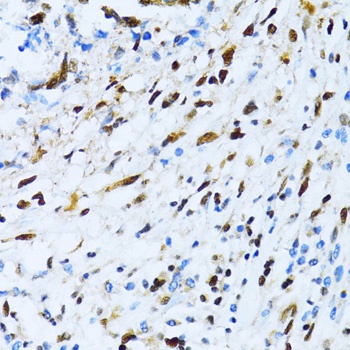
Immunohistochemistry analysis of paraffin-embedded Human breast cancer using XRCC4 Rabbit pAb (CAB1677) at dilution of 1:100 (40x lens). Microwave antigen retrieval performed with 0.01M PBS Buffer (pH 7.2) prior to IHC staining.
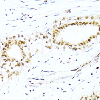
Immunohistochemistry analysis of paraffin-embedded Human gastric cancer using XRCC4 Rabbit pAb (CAB1677) at dilution of 1:100 (40x lens). Microwave antigen retrieval performed with 0.01M PBS Buffer (pH 7.2) prior to IHC staining.