The ZBTB6 Antibody (CAB15136) is a high-quality antibody developed for reliable detection and analysis of target proteins. This antibody, produced in rabbits, has high specificity and sensitivity towards human samples, making it suitable for use in Western blot and immunohistochemistry applications.ZBTB6, also known as Zinc finger and BTB domain-containing protein 6, is a transcription factor that plays a crucial role in gene regulation and cell differentiation. It is implicated in various diseases, including cancer, developmental disorders, and neurological conditions.
This antibody is validated for use in WB, ELISA applications and has demonstrated reactivity against Human, Mouse, Rat samples.
Product Name:
ZBTB6 Antibody
SKU:
CAB15136
Size:
20μL, 100μL
Reactivity:
Human, Mouse, Rat
Conjugate:
Unconjugated
Immunogen:
Recombinant protein (or fragment).This information is considered to be commercially sensitive.
Recommended starting concentration is 1 μg/mL. Please optimize the concentration based on your specific assay requirements.
Synonyms:
ZID, ZNF482, ZBTB6
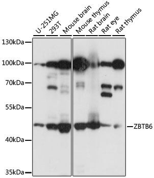
Positive Sample:
U-251MG, 293T, mouse brain, mouse thymus, rat brain, rat eye, rat thymus
Cellular Localization:
Nucleus.
Calculated MW:
48kDa
Observed MW:
48kDa
Predicted to enable DNA-binding transcription repressor activity, RNA polymerase II-specific and RNA polymerase II cis-regulatory region sequence-specific DNA binding activity. Predicted to be involved in regulation of transcription by RNA polymerase II. Located in mitochondrion and nucleoplasm.
Purification Method
Affinity purification
Gene ID
10773
RRID
AB_2762022
Buffer Information
Store at -20℃. Avoid freeze / thaw cycles. Buffer: PBS with 0.01% thimerosal,50% glycerol,pH7.3.
Western blot analysis of various lysates using ZBTB6 Rabbit pAb (CAB15136) at 1:1000 dilution. Secondary antibody: HRP-conjugated Goat anti-Rabbit IgG (H+L) (CABS014) at 1:10000 dilution. Lysates/proteins: 25μg per lane. Blocking buffer: 3% nonfat dry milk in TBST. Detection: ECL Basic Kit (AbGn00020). Exposure time: 5s.