The ZDHHC18 Antibody (CAB15199) is a high-quality antibody developed for reliable detection and analysis of target proteins. This antibody, developed through rabbit immunization, is highly specific for detecting ZDHHC18 in human samples, making it ideal for Western blot applications.ZDHHC18 is a member of the ZDHHC family of enzymes, responsible for adding palmitate groups to proteins, which plays a crucial role in protein trafficking, localization, and function. Dysregulation of protein palmitoylation has been implicated in various diseases, including cancer, neurological disorders, and cardiovascular diseases.
This antibody is validated for use in WB, IHC-P, ELISA applications and has demonstrated reactivity against Human, Mouse, Rat samples.
Product Name:
ZDHHC18 Antibody
SKU:
CAB15199
Size:
20μL, 100μL
Reactivity:
Human, Mouse, Rat
Conjugate:
Unconjugated
Immunogen:
Recombinant protein (or fragment).This information is considered to be commercially sensitive.
Recommended starting concentration is 1 μg/mL. Please optimize the concentration based on your specific assay requirements.
Synonyms:
DHHC18, DHHC-18, ZDHHC18
Positive Sample:
Raji, HeLa, Mouse brain, Rat brain
Cellular Localization:
Membrane, Multi-Pass Membrane Protein.
Calculated MW:
42kDa
Observed MW:
42kDa
Enables palmitoyltransferase activity. Involved in peptidyl-L-cysteine S-palmitoylation. Located in Golgi apparatus.
Purification Method
Affinity purification
Gene ID
84243
RRID
AB_2762091
Buffer Information
Store at -20℃. Avoid freeze / thaw cycles. Buffer: PBS with 0.09% Sodium azide,50% glycerol,pH7.3.
Western blot analysis of various lysates using ZDHHC18 Rabbit pAb (CAB15199) at 1:1000 dilution. Secondary antibody: HRP-conjugated Goat anti-Rabbit IgG (H+L) (CABS014) at 1:10000 dilution. Lysates/proteins: 25μg per lane. Blocking buffer: 3% nonfat dry milk in TBST. Detection: ECL Basic Kit (AbGn00020). Exposure time: 60s.
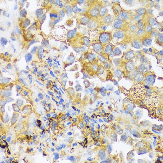
Immunohistochemistry analysis of paraffin-embedded Human lung cancer using ZDHHC18 Rabbit pAb (CAB15199) at dilution of 1:100 (40x lens). Microwave antigen retrieval performed with 0.01M PBS Buffer (pH 7.2) prior to IHC staining.