The ZFX Antibody (CAB16444) is a high-quality antibody developed for reliable detection and analysis of target proteins. This antibody, produced in rabbits, exhibits high specificity and sensitivity when detecting ZFX in human samples, making it ideal for use in Western blot applications.ZFX has been implicated in numerous cellular functions, including stem cell self-renewal and maintenance of pluripotency. Its dysregulation has been linked to various diseases, particularly in cancer, where it plays a critical role in tumor progression and metastasis.
This antibody is validated for use in WB, ELISA applications and has demonstrated reactivity against Human, Mouse, Rat samples.
Product Name:
ZFX Antibody
SKU:
CAB16444
Size:
20μL, 100μL
Reactivity:
Human, Mouse, Rat
Conjugate:
Unconjugated
Immunogen:
Recombinant protein (or fragment).This information is considered to be commercially sensitive.
Recommended starting concentration is 1 μg/mL. Please optimize the concentration based on your specific assay requirements.
Synonyms:
ZNF926, ZFX
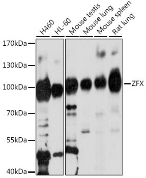
Positive Sample:
H460, HL-60, Mouse testis, Mouse lung, Mouse spleen, Rat lung
Cellular Localization:
Nucleus.
Calculated MW:
91kDa
Observed MW:
110kDa
This gene on the X chromosome is structurally similar to a related gene on the Y chromosome. It encodes a member of the krueppel C2H2-type zinc-finger protein family. The full-length protein contains an acidic transcriptional activation domain (AD), a nuclear localization sequence (NLS) and a DNA binding domain (DBD) consisting of 13 C2H2-type zinc fingers. Studies in mouse embryonic and adult hematopoietic stem cells showed that this gene was required as a transcriptional regulator for self-renewal of both stem cell types, but it was dispensable for growth and differentiation of their progeny. Multiple alternatively spliced transcript variants encoding different isoforms have been identified, but the full-length nature of some variants has not been determined.
Purification Method
Affinity purification
Gene ID
7543
RRID
AB_2772959
Buffer Information
Store at -20℃. Avoid freeze / thaw cycles. Buffer: PBS with 0.01% thimerosal,50% glycerol,pH7.3.
Western blot analysis of various lysates using ZFX Rabbit pAb (CAB16444) at 1:1000 dilution. Secondary antibody: HRP-conjugated Goat anti-Rabbit IgG (H+L) (CABS014) at 1:10000 dilution. Lysates/proteins: 25μg per lane. Blocking buffer: 3% nonfat dry milk in TBST. Detection: ECL Enhanced Kit (AbGn00021). Exposure time: 90s.