The ZP1 Antibody (CAB10776) is a high-quality antibody developed for reliable detection and analysis of target proteins. This antibody, produced in rabbits, demonstrates high reactivity with human samples and has been validated for use in Western blot applications. By binding specifically to the ZP1 protein, this antibody allows for the detection and analysis of ZP1 in a variety of cell types, making it an excellent choice for studies in molecular biology and cell signaling research.ZP1, also known as zona pellucida protein 1, is essential for proper fertilization and embryo development. Its role in mediating sperm-egg interactions makes it a key target for research in reproductive biology and fertility treatments.
This antibody is validated for use in WB, ELISA applications and has demonstrated reactivity against Human, Mouse, Rat samples.
Product Name:
ZP1 Antibody
SKU:
CAB10776
Size:
20μL, 100μL
Reactivity:
Human, Mouse, Rat
Conjugate:
Unconjugated
Immunogen:
Recombinant protein (or fragment).This information is considered to be commercially sensitive.
Recommended starting concentration is 1 μg/mL. Please optimize the concentration based on your specific assay requirements.
Synonyms:
OOMD, ZPB1, OOMD1, HEL163, OZEMA1, ZP1
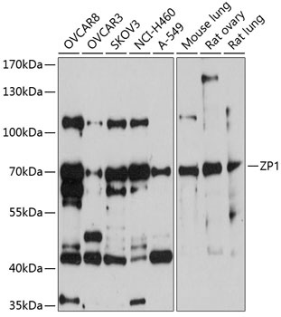
Positive Sample:
OVCAR8, OVCAR3, SKOV3, NCI-H460, A-549, Mouse lung, Rat ovary, Rat lung
Cellular Localization:
Cell Membrane, Secreted, Single-Pass Type I Membrane Protein, Extracellular Matrix, Extracellular Space.
Calculated MW:
70kDa
Observed MW:
70kDa
The zona pellucida is an extracellular matrix that surrounds the oocyte and early embryo. It is composed primarily of three or four glycoproteins with various functions during fertilization and preimplantation development. The protein encoded by this gene ensures the structural integrity of the zona pellucida. Mutations in this gene are a cause of oocyte maturation defect and infertility.
Purification Method
Affinity purification
Gene ID
22917
RRID
AB_2758213
Buffer Information
Store at -20℃. Avoid freeze / thaw cycles. Buffer: PBS with 0.01% thimerosal,50% glycerol,pH7.3.
Western blot analysis of various lysates using ZP1 Rabbit pAb (CAB10776) at 1:1000 dilution. Secondary antibody: HRP-conjugated Goat anti-Rabbit IgG (H+L) (CABS014) at 1:10000 dilution. Lysates/proteins: 25μg per lane. Blocking buffer: 3% nonfat dry milk in TBST. Detection: ECL Basic Kit (AbGn00020). Exposure time: 90s.