The Acetyl-Histone H4-K8 Antibody (CAB7258) is a high-quality antibody developed for reliable detection and analysis of target proteins. This antibody, raised in rabbits, has high reactivity with acetylated histone H4 (lysine 8) in human samples, making it ideal for use in Western blot applications. By specifically binding to acetyl-histone H4 (K8), this antibody allows for the detection and analysis of histone modifications in various cell types, enabling further exploration into the role of epigenetic regulation in gene expression and cellular function.Histone modifications, such as acetylation, play a crucial role in gene regulation by altering chromatin structure and accessibility to transcription factors.
This antibody is validated for use in WB, IHC-P, IF/ICC, ChIP, ChIP-seq, ELISA applications and has demonstrated reactivity against Human, Mouse, Rat, Other (Wide Range Predicted) samples.
Product Name:
Acetyl-Histone H4-K8 Antibody
SKU:
CAB7258
Size:
20μL, 100μL
Reactivity:
Human, Mouse, Rat, Other (Wide Range Predicted)
Conjugate:
Unconjugated
Immunogen:
Synthetic peptide. This information is considered to be commercially sensitive.
Sequence:
GGKG L
Tested Applications:
WBIHC-PIF/ICCChIPChIP-seqELISA
Recommended Dilution:
WB
1:500 - 1:1000
IHC-P
1:50 - 1:200
IF/ICC
1:500 - 1:1000
ELISA
Recommended starting concentration is 1 μg/mL. Please optimize the concentration based on your specific assay requirements.
Histones are basic nuclear proteins that are responsible for the nucleosome structure of the chromosomal fiber in eukaryotes. This structure consists of approximately 146 bp of DNA wrapped around a nucleosome, an octamer composed of pairs of each of the four core histones (H2A, H2B, H3, and H4). The chromatin fiber is further compacted through the interaction of a linker histone, H1, with the DNA between the nucleosomes to form higher order chromatin structures. This gene is intronless and encodes a replication-dependent histone that is a member of the histone H4 family. Transcripts from this gene lack polyA tails; instead, they contain a palindromic termination element. This gene is found in a histone cluster on chromosome 1. This gene is one of four histone genes in the cluster that are duplicated; this record represents the centromeric copy.
Purification Method
Affinity purification
Gene ID
8359
RRID
AB_2767802
Buffer Information
Store at -20℃. Avoid freeze / thaw cycles. Buffer: PBS containing 50% glycerol, preserved with proclin300 or sodium azide, pH 7.3.
Western blot analysis of various lysates using Acetyl-Histone H4-K8 Rabbit pAb (CAB7258) at 1:1000 dilution. NIH/3T3 cells and C6 cells were treated with TSA (1 uM) at 37℃ for 18 hours. Secondary antibody: HRP-conjugated Goat anti-Rabbit IgG (H+L) (CABS014) at 1:10000 dilution. Lysates/proteins: 25μg per lane. Blocking buffer: 3% nonfat dry milk in TBST. Detection: ECL Basic Kit (AbGn00020). Exposure time: 30s.
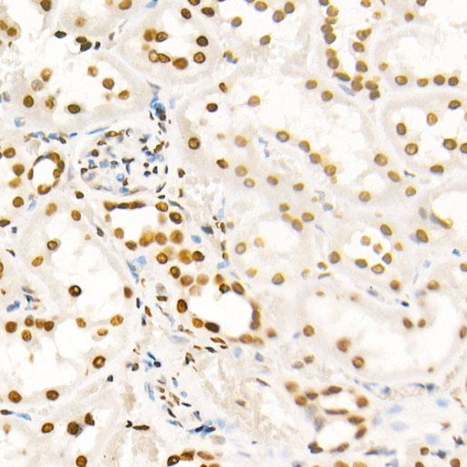
Immunohistochemistry analysis of paraffin-embedded Human kidney using Acetyl-Histone H4-K8 Rabbit pAb (CAB7258) at dilution of 1:20 (40x lens). High pressure antigen retrieval performed with 0.01M Citrate buffer (pH 6.0) prior to IHC staining.
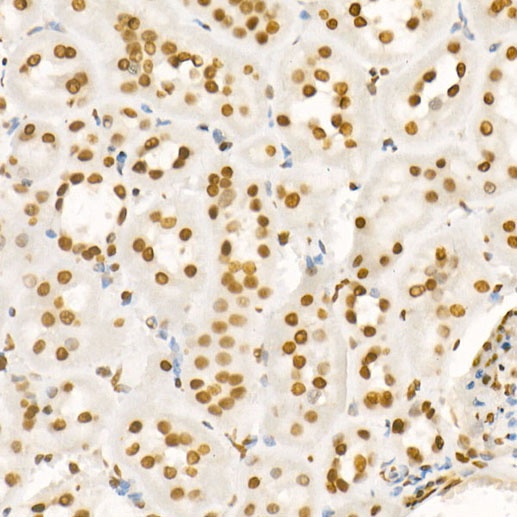
Immunohistochemistry analysis of paraffin-embedded Rat kidney using Acetyl-Histone H4-K8 Rabbit pAb (CAB7258) at dilution of 1:20 (40x lens). High pressure antigen retrieval performed with 0.01M Citrate buffer (pH 6.0) prior to IHC staining.
Immunofluorescence analysis of HeLa cells using Acetyl-Histone H4-K8 Rabbit pAb (CAB7258). Secondary antibody: Cy3-conjugated Goat anti-Rabbit IgG (H+L) (CABS007) at 1:500 dilution. Blue: DAPI for nuclear staining.
Chromatin immunoprecipitation was performed with 5 μg of cross-linked chromatin from HeLa cells, using 5 μg of Acetyl-Histone H4-K8 Rabbit pAb (CAB7258) and Rabbit IgG isotype control (AC042). The enrichment of immunoprecipitated DNA at different genomic loci was examined by quantitative PCR. The histogram compares the ratio of the immunoprecipitated DNA to the input at given loci.