The Acetyl-Histone H4-K12 Antibody (CAB14227) is a high-quality antibody developed for reliable detection and analysis of target proteins. This antibody, raised in rabbits, specifically targets the acetyl-histone H4 at lysine 12, allowing for the detection and analysis of this important histone modification in human samples. Validated for use in Western blot applications, the CAB14227 antibody enables researchers to investigate the role of acetyl-histone H4 (K12) in gene expression and chromatin structure in various cell types.Histone modifications, such as acetylation, play a crucial role in regulating gene expression and chromatin remodeling. Acetyl-histone H4 at lysine 12 is known to be involved in transcriptional activation and is associated with active gene promoters.
This antibody is validated for use in WB, IHC-P, IF/ICC, ELISA applications and has demonstrated reactivity against Human, Mouse, Rat, Other (Wide Range Predicted) samples.
Product Name:
Acetyl-Histone H4-K12 Antibody
SKU:
CAB14227
Size:
20μL, 100μL
Reactivity:
Human, Mouse, Rat, Other (Wide Range Predicted)
Conjugate:
Unconjugated
Immunogen:
Synthetic peptide. This information is considered to be commercially sensitive.
Sequence:
GLGK G
Tested Applications:
WBIHC-PIF/ICCELISA
Recommended Dilution:
WB
1:500 - 1:2000
IHC-P
1:50 - 1:200
IF/ICC
1:50 - 1:200
ELISA
Recommended starting concentration is 1 μg/mL. Please optimize the concentration based on your specific assay requirements.
Histones are basic nuclear proteins that are responsible for the nucleosome structure of the chromosomal fiber in eukaryotes. Two molecules of each of the four core histones (H2A, H2B, H3, and H4) form an octamer, around which approximately 146 bp of DNA is wrapped in repeating units, called nucleosomes. The linker histone, H1, interacts with linker DNA between nucleosomes and functions in the compaction of chromatin into higher order structures. This gene is intronless and encodes a replication-dependent histone that is a member of the histone H4 family. Transcripts from this gene lack polyA tails but instead contain a palindromic termination element. This gene is found in the large histone gene cluster on chromosome 6.
Purification Method
Affinity purification
Gene ID
8359
RRID
AB_2761087
Buffer Information
Store at -20℃. Avoid freeze / thaw cycles. Buffer: PBS with 0.01% thimerosal,50% glycerol,pH7.3.
Western blot analysis of various lysates using Acetyl-Histone H4-K12 Rabbit pAb (CAB14227) at 1:500 dilution. HeLa cells and C6 cells were treated with TSA (1 uM) at 37℃ for 18 hours. Secondary antibody: HRP-conjugated Goat anti-Rabbit IgG (H+L) (CABS014) at 1:10000 dilution. Lysates/proteins: 25μg per lane. Blocking buffer: 3% nonfat dry milk in TBST. Detection: ECL Basic Kit (AbGn00020). Exposure time: 30s.
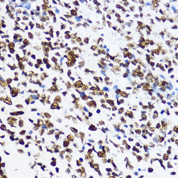
Immunohistochemistry analysis of paraffin-embedded Human appendix using Acetyl-Histone H4-K12 Rabbit pAb (CAB14227) at dilution of 1:200 (40x lens). Microwave antigen retrieval performed with 0.01M PBS Buffer (pH 7.2) prior to IHC staining.
Immunohistochemistry analysis of paraffin-embedded Mouse testis using Acetyl-Histone H4-K12 Rabbit pAb (CAB14227) at dilution of 1:200 (40x lens). Microwave antigen retrieval performed with 0.01M PBS Buffer (pH 7.2) prior to IHC staining.
Immunohistochemistry analysis of paraffin-embedded Mouse spinal cord using Acetyl-Histone H4-K12 Rabbit pAb (CAB14227) at dilution of 1:200 (40x lens). Microwave antigen retrieval performed with 0.01M PBS Buffer (pH 7.2) prior to IHC staining.
Immunofluorescence analysis of NIH/3T3 cells using Acetyl-Histone H4-K12 Rabbit pAb (CAB14227) at dilution of 1:100.NIH/3T3 cells were treated with TSA (1 uM) at 37℃ for 18 hours. Blue: DAPI for nuclear staining.