The ALG5 Antibody (CAB17693) is a high-quality antibody developed for reliable detection and analysis of target proteins. This rabbit polyclonal antibody is highly specific to human samples and has been validated for use in Western blotting applications. By binding to the ALG5 protein, this antibody allows for the detection and analysis of ALG5 in various cell types, making it an ideal choice for studies in glycobiology and glycosylation research.ALG5 is a key player in the process of N-linked glycosylation, which is crucial for the proper folding and function of glycoproteins.
This antibody is validated for use in WB, IHC-P, IF/ICC, ELISA applications and has demonstrated reactivity against Human, Mouse, Rat samples.
Product Name:
ALG5 Antibody
SKU:
CAB17693
Size:
20μL, 100μL
Reactivity:
Human, Mouse, Rat
Conjugate:
Unconjugated
Immunogen:
Recombinant protein (or fragment).This information is considered to be commercially sensitive.
Recommended starting concentration is 1 μg/mL. Please optimize the concentration based on your specific assay requirements.
Synonyms:
PKD7, bA421P11.2, ALG5
Positive Sample:
U-87MG, HepG2, 293T
Calculated MW:
37kDa
Observed MW:
37kDa
This gene encodes a member of the glycosyltransferase 2 family. The encoded protein participates in glucosylation of the oligomannose core in N-linked glycosylation of proteins. The addition of glucose residues to the oligomannose core is necessary to ensure substrate recognition, and therefore, effectual transfer of the oligomannose core to the nascent glycoproteins. Multiple transcript variants encoding different isoforms have been found for this gene.
Purification Method
Affinity purification
Gene ID
29880
RRID
AB_2768335
Buffer Information
Store at -20℃. Avoid freeze / thaw cycles. Buffer: PBS with 0.01% thimerosal,50% glycerol,pH7.3.
Western blot analysis of various lysates using ALG5 Rabbit pAb (CAB17693) at 1:1000 dilution. Secondary antibody: HRP-conjugated Goat anti-Rabbit IgG (H+L) (CABS014) at 1:10000 dilution. Lysates/proteins: 25μg per lane. Blocking buffer: 3% nonfat dry milk in TBST. Detection: ECL Basic Kit (AbGn00020). Exposure time: 90s.
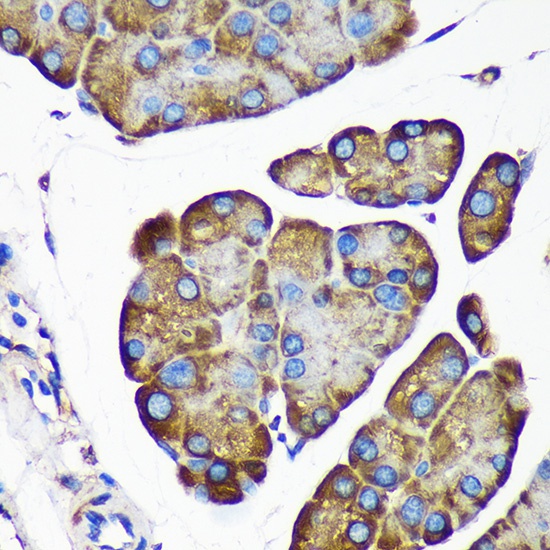
Immunohistochemistry analysis of paraffin-embedded Mouse pancreas using ALG5 Rabbit pAb (CAB17693) at dilution of 1:100 (40x lens). Microwave antigen retrieval performed with 0.01M PBS Buffer (pH 7.2) prior to IHC staining.
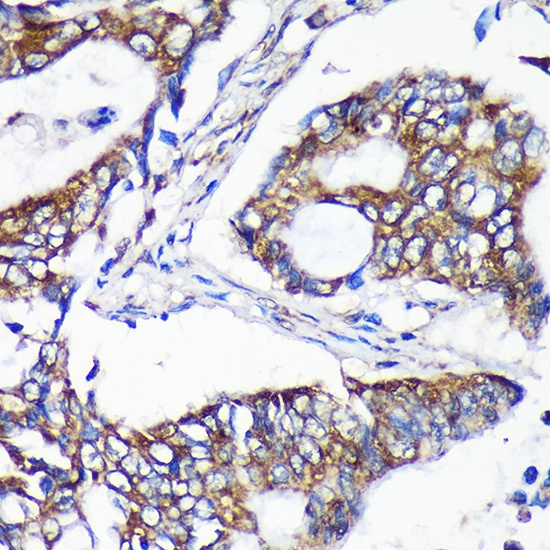
Immunohistochemistry analysis of paraffin-embedded Human colon carcinoma using ALG5 Rabbit pAb (CAB17693) at dilution of 1:100 (40x lens). Microwave antigen retrieval performed with 0.01M PBS Buffer (pH 7.2) prior to IHC staining.
Immunofluorescence analysis of L929 cells using ALG5 Rabbit pAb (CAB17693) at dilution of 1:100. Secondary antibody: Cy3-conjugated Goat anti-Rabbit IgG (H+L) (CABS007) at 1:500 dilution. Blue: DAPI for nuclear staining.