The Alpha-1 Antitrypsin (SERPINA1) Antibody (CAB1015) is a high-quality antibody developed for reliable detection and analysis of target proteins. This polyclonal antibody, produced in rabbits, exhibits high specificity and sensitivity towards human samples, making it an excellent choice for Western blot applications.Alpha-1 antitrypsin deficiency is a genetic disorder that can lead to lung and liver diseases, making the study of this protein crucial for understanding and developing treatments for these conditions.
This antibody is validated for use in WB, IHC-P, IF/ICC, ELISA applications and has demonstrated reactivity against Human, Mouse samples.
Product Name:
Alpha-1 Antitrypsin (SERPINA1) Antibody
SKU:
CAB1015
Size:
20μL, 100μL
Reactivity:
Human, Mouse
Conjugate:
Unconjugated
Immunogen:
Recombinant protein (or fragment).This information is considered to be commercially sensitive.
The protein encoded by this gene is a serine protease inhibitor belonging to the serpin superfamily whose targets include elastase, plasmin, thrombin, trypsin, chymotrypsin, and plasminogen activator. This protein is produced in the liver, the bone marrow, by lymphocytic and monocytic cells in lymphoid tissue, and by the Paneth cells of the gut. Defects in this gene are associated with chronic obstructive pulmonary disease, emphysema, and chronic liver disease. Several transcript variants encoding the same protein have been found for this gene.
Purification Method
Affinity purification
Gene ID
5265
RRID
AB_2757677
Buffer Information
Store at -20℃. Avoid freeze / thaw cycles. Buffer: PBS containing 50% glycerol, preserved with proclin300 or sodium azide, pH 7.3.
Western blot analysis of various lysates using Alpha-1 Antitrypsin (SERPINA1) Rabbit pAb (CAB1015) at 1:500 dilution. Secondary antibody: HRP-conjugated Goat anti-Rabbit IgG (H+L) (CABS014) at 1:10000 dilution. Lysates/proteins: 25μg per lane. Blocking buffer: 3% nonfat dry milk in TBST. Detection: ECL Basic Kit (AbGn00020). Exposure time: 60s.
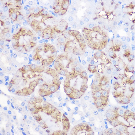
Immunohistochemistry analysis of paraffin-embedded Mouse kidney using Alpha-1 Antitrypsin (SERPINA1) Rabbit pAb (CAB1015) at dilution of 1:100 (40x lens). Microwave antigen retrieval performed with 0.01M Tris/EDTA Buffer (pH 9.0) prior to IHC staining.