The THOC4/ALYREF Antibody (CAB6010) is a high-quality antibody developed for reliable detection and analysis of target proteins. This antibody, produced in rabbits, demonstrates high reactivity with human samples and is validated for use in Western blot applications. By binding specifically to the ALYREF protein, this antibody enables precise detection and analysis in various cell types, making it an ideal choice for studies in molecular biology and gene expression research.ALYREF plays a crucial role in RNA processing, including mRNA export and splicing, making it a key player in gene expression regulation.
This antibody is validated for use in WB, IHC-P, IF/ICC, ELISA applications and has demonstrated reactivity against Human, Mouse, Rat samples.
Product Name:
THOC4/ALYREF Antibody
SKU:
CAB6010
Size:
20μL, 100μL
Reactivity:
Human, Mouse, Rat
Conjugate:
Unconjugated
Immunogen:
Synthetic peptide. This information is considered to be commercially sensitive.
Recommended starting concentration is 1 μg/mL. Please optimize the concentration based on your specific assay requirements.
Synonyms:
ALY, BEF, REF, THOC4, ALY/REF, THOC4/ALYREF
Positive Sample:
HeLa, A-549, B cells, SKOV3, HL-60, Mouse testis, Mouse spleen, Mouse thymus, Rat brain
Cellular Localization:
Cytoplasm, Nucleus, Nucleus Speckle.
Calculated MW:
27kDa
Observed MW:
30kDa
The protein encoded by this gene is a heat stable, nuclear protein and functions as a molecular chaperone. It is thought to regulate dimerization, DNA binding, and transcriptional activity of basic region-leucine zipper (bZIP) proteins.
Purification Method
Affinity purification
Gene ID
10189
RRID
AB_2766711
Buffer Information
Store at -20℃. Avoid freeze / thaw cycles. Buffer: PBS with 0.09% Sodium azide,50% glycerol,pH7.3.
Western blot analysis of various lysates using THOC4/ALYREF Rabbit pAb (CAB6010) at 1:1000 dilution. Secondary antibody: HRP-conjugated Goat anti-Rabbit IgG (H+L) (CABS014) at 1:10000 dilution. Lysates/proteins: 25μg per lane. Blocking buffer: 3% nonfat dry milk in TBST. Detection: ECL Basic Kit (AbGn00020). Exposure time: 5s.
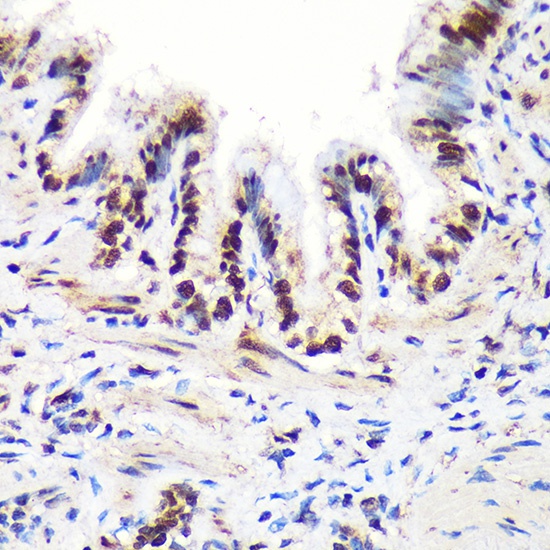
Immunohistochemistry analysis of paraffin-embedded Rat lung using THOC4/THOC4/ALYREF Rabbit pAb (CAB6010) at dilution of 1:100 (40x lens). Microwave antigen retrieval performed with 0.01M PBS Buffer (pH 7.2) prior to IHC staining.
Immunofluorescence analysis of C6 cells using THOC4/ALYREF Rabbit pAb (CAB6010) at dilution of 1:100 (40x lens). Secondary antibody: Cy3-conjugated Goat anti-Rabbit IgG (H+L) (CABS007) at 1:500 dilution. Blue: DAPI for nuclear staining.
Immunofluorescence analysis of NIH-3T3 cells using THOC4/ALYREF Rabbit pAb (CAB6010) at dilution of 1:100 (40x lens). Secondary antibody: Cy3-conjugated Goat anti-Rabbit IgG (H+L) (CABS007) at 1:500 dilution. Blue: DAPI for nuclear staining.
Confocal immunofluorescence analysis of U2OS cells using THOC4/ALYREF Rabbit pAb (CAB6010) at dilution of 1:100. Blue: DAPI for nuclear staining.