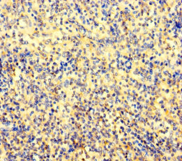
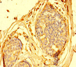
AMIGO1 Antibody is a premium polyclonal that offers outstanding performance and reliability for demanding research applications. Rigorously validated for ELISA, IHC, this antibody ensures consistent, reproducible results across multiple experimental platforms. Demonstrates excellent reactivity with Human samples, providing researchers with confidence in cross-species compatibility. Conveniently packaged in 50ug format to meet your experimental needs. For optimal performance, store at -20°C or -80°C and maintains stability for 12 months. Backed by rigorous quality control testing to ensure superior performance in your critical research applications.
Product Name:
AMIGO1 Antibody
SKU:
PACO37418
Size:
50μg
Isotype:
IgG
Host Species:
Rabbit
Reactivity:
Human
Immunogen:
Recombinant Human Amphoterin-induced protein 1 protein (28-327AA)
Immunogen Species:
Homo sapiens (Human)
Uniprot No:
Q86WK6
Form:
Liquid
Tested Applications:
ELISAIHC
Recommended Dilution:
Application
Recommended Dilution
IHC
1:20-1:200
Synonyms:
Adhesion molecule with Ig like domain 1 antibody, ali2 antibody, Alivin 2 antibody, Alivin-2 antibody, AMGO1_HUMAN antibody, AMIGO 1 antibody, AMIGO antibody, AMIGO protein antibody, AMIGO-1 antibody, Amigo1 antibody, Amphoterin induced gene and ORF (Amigo) antibody, Amphoterin induced gene and ORF antibody, Amphoterin induced protein 1 antibody, Amphoterin-induced protein 1 antibody, KIAA1163 antibody, MGC25558 antibody, OTTHUMP00000013379 antibody, RP23 89M15.6 antibody