The ABCF1 Monoclonal Antibody (CAB19621) is a high-quality antibody developed for reliable detection and analysis of target proteins. This antibody, generated in rabbits, is highly specific to human samples and has been validated for use in Western blot applications. By binding to the ABCF1 protein, this antibody allows for the detection and analysis of ABCF1 in a variety of cell types, making it ideal for research in molecular biology and cancer biology.ABCF1, also known as ATP-binding cassette sub-family F member 1, plays a crucial role in ribosome assembly and translation initiation, making it essential for protein synthesis.
This antibody is validated for use in WB, IHC-P, ELISA applications and has demonstrated reactivity against Human samples.
Product Name:
ABCF1 Monoclonal Antibody
SKU:
CAB19621
Size:
20μL, 100μL
Reactivity:
Human
Clone Number:
ARC2199
Conjugate:
Unconjugated
Immunogen:
Synthetic peptide. This information is considered to be commercially sensitive.
The protein encoded by this gene is a member of the superfamily of ATP-binding cassette (ABC) transporters. ABC proteins transport various molecules across extra- and intra-cellular membranes. ABC genes are divided into seven distinct subfamilies (ABC1, MDR/TAP, MRP, ALD, OABP, GCN20, White). This protein is a member of the GCN20 subfamily. Unlike other members of the superfamily, this protein lacks the transmembrane domains which are characteristic of most ABC transporters. This protein may be regulated by tumor necrosis factor-alpha and play a role in enhancement of protein synthesis and the inflammation process.
Purification Method
Affinity purification
Gene ID
23
Buffer Information
Store at -20℃. Avoid freeze / thaw cycles. Buffer: PBS containing 50% glycerol and 0.05% BSA, preserved with proclin300 or sodium azide, pH 7.3.
Western blot analysis of various lysates using ABCF1 Rabbit mAb (CAB19621) at 1:1000 dilution. Secondary antibody: HRP-conjugated Goat anti-Rabbit IgG (H+L) (CABS014) at 1:10000 dilution. Lysates/proteins: 25μg per lane. Blocking buffer: 3% nonfat dry milk in TBST. Detection: ECL Basic Kit (AbGn00020). Exposure time: 180s.
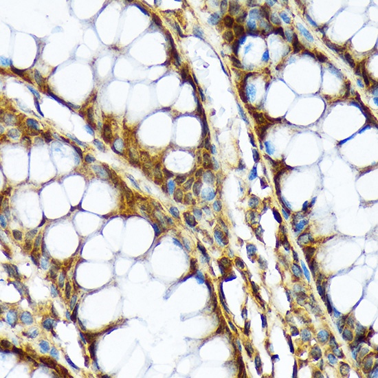
Immunohistochemistry analysis of paraffin-embedded Human colon using ABCF1 Rabbit mAb (CAB19621) at dilution of 1:100 (40x lens). Microwave antigen retrieval performed with 0.01M Tris/EDTA Buffer (pH 9.0) prior to IHC staining.