The AP1G1 Monoclonal Antibody (CAB19269) is a high-quality antibody developed for reliable detection and analysis of target proteins. This antibody, produced in rabbits, has high specificity for human samples and has been validated for use in Western blot applications. By binding to the AP1G1 protein, researchers can easily detect and analyze its expression in various cell types, making it an ideal choice for studies in cell biology and molecular biology.AP1G1 plays a crucial role in regulating the sorting and trafficking of proteins within cells, making it essential for maintaining cellular function and organization. Dysregulation of AP1G1 has been linked to various diseases, including neurodegenerative disorders and certain types of cancer.
This antibody is validated for use in WB, IHC-P, ELISA applications and has demonstrated reactivity against Human, Mouse, Rat samples.
Product Name:
AP1G1 Monoclonal Antibody
SKU:
CAB19269
Size:
20μL, 100μL
Reactivity:
Human, Mouse, Rat
Clone Number:
ARC2440
Conjugate:
Unconjugated
Immunogen:
Synthetic peptide. This information is considered to be commercially sensitive.
Recommended starting concentration is 1 μg/mL. Please optimize the concentration based on your specific assay requirements.
Synonyms:
ADTG, CLAPG1, USRISD, AP1G1
Positive Sample:
HeLa, 293T, HepG2, Mouse liver, Mouse brain, Rat liver, Rat brain
Cellular Localization:
Clathrin-Coated Pit, Clathrin-Coated Vesicle, Cytoplasm, Cytosol, Early Endosome, Golgi Apparatus, Perinuclear Region Of Cytoplasm, Recycling Endosome.
Calculated MW:
91kDa
Observed MW:
100kDa
Adaptins are important components of clathrin-coated vesicles transporting ligand-receptor complexes from the plasma membrane or from the trans-Golgi network to lysosomes. The adaptin family of proteins is composed of four classes of molecules named alpha, beta-, beta prime- and gamma- adaptins. Adaptins, together with medium and small subunits, form a heterotetrameric complex called an adaptor, whose role is to promote the formation of clathrin-coated pits and vesicles. The protein encoded by this gene is a gamma-adaptin protein and it belongs to the adaptor complexes large subunits family. Two transcript variants encoding different isoforms have been found for this gene.
Purification Method
Affinity purification
Gene ID
164
Buffer Information
Store at -20℃. Avoid freeze / thaw cycles. Buffer: PBS containing 50% glycerol and 0.05% BSA, preserved with proclin300 or sodium azide, pH 7.3.
Western blot analysis of various lysates using AP1G1 Rabbit mAb (CAB19269) at 1:1000 dilution. Secondary antibody: HRP-conjugated Goat anti-Rabbit IgG (H+L) (CABS014) at 1:10000 dilution. Lysates/proteins: 25μg per lane. Blocking buffer: 3% nonfat dry milk in TBST. Detection: ECL Basic Kit (AbGn00020). Exposure time: 90s.
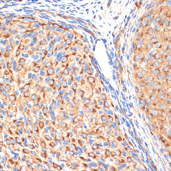
Immunohistochemistry analysis of paraffin-embedded Rat ovary using AP1G1 Rabbit mAb (CAB19269) at dilution of 1:100 (40x lens). Microwave antigen retrieval performed with 0.01M Tris/EDTA Buffer (pH 9.0) prior to IHC staining.