The ATF5 Monoclonal Antibody (CAB3563) is a high-quality antibody developed for reliable detection and analysis of target proteins. This antibody, generated in rabbits, is highly specific to ATF5 and is validated for use in Western blot and immunohistochemistry applications with human samples.ATF5 plays a crucial role in regulating gene expression in response to various cellular stresses, making it a key player in cancer biology and neurodevelopment.
This antibody is validated for use in WB, IHC-P, ELISA applications and has demonstrated reactivity against Human, Mouse, Rat samples.
Product Name:
ATF5 Monoclonal Antibody
SKU:
CAB3563
Size:
20μL, 100μL
Reactivity:
Human, Mouse, Rat
Clone Number:
ARC2043
Conjugate:
Unconjugated
Immunogen:
Synthetic peptide. This information is considered to be commercially sensitive.
Recommended starting concentration is 1 μg/mL. Please optimize the concentration based on your specific assay requirements.
Synonyms:
ATFX, HMFN0395, ATF5
Positive Sample:
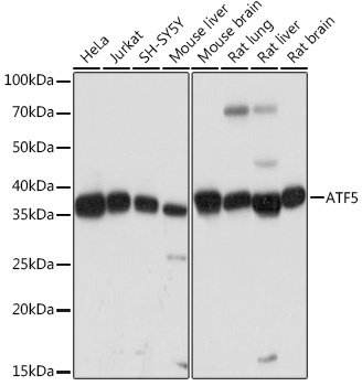
HeLa, Jurkat, SH-SY5Y, Mouse liver, Mouse brain, Rat lung, Rat liver, Rat brain
Cellular Localization:
Centrosome, Cytosol, Nucleoplasm, Nucleus.
Calculated MW:
31kDa
Observed MW:
35kDa
Enables several functions, including DNA-binding transcription activator activity, RNA polymerase II-specific; RNA polymerase II transcription regulatory region sequence-specific DNA binding activity; and tubulin binding activity. Involved in several processes, including fat cell differentiation; regulation of cell cycle process; and regulation of transcription, DNA-templated. Located in centrosome; cytosol; and nucleoplasm.
Purification Method
Affinity purification
Gene ID
22809
RRID
AB_2863087
Buffer Information
Store at -20℃. Avoid freeze / thaw cycles. Buffer: PBS containing 50% glycerol and 0.05% BSA, preserved with proclin300 or sodium azide, pH 7.3.
Western blot analysis of various lysates using ATF5 Rabbit mAb (CAB3563) at 1:1000 dilution. Secondary antibody: HRP-conjugated Goat anti-Rabbit IgG (H+L) (CABS014) at 1:10000 dilution. Lysates/proteins: 25μg per lane. Blocking buffer: 3% nonfat dry milk in TBST. Detection: ECL Basic Kit (AbGn00020). Exposure time: 3s.
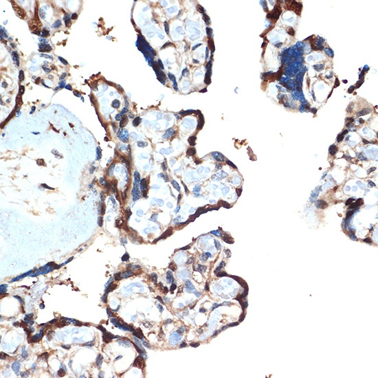
Immunohistochemistry analysis of paraffin-embedded Human placenta using ATF5 Rabbit mAb (CAB3563) at dilution of 1:100 (40x lens). Microwave antigen retrieval performed with 0.01M Tris/EDTA Buffer (pH 9.0) prior to IHC staining.