The [KO Validated] Beclin 1 Antibody (CAB7353) is a high-quality antibody developed for reliable detection and analysis of target proteins. Beclin-1 is a key regulator of the autophagy process, involved in the degradation and recycling of cellular components. This antibody, validated for knockout (KO) experiments, is ideal for Western blot and immunohistochemistry applications in human samples.Beclin-1 plays a crucial role in maintaining cellular homeostasis and has been implicated in a variety of human diseases, including cancer, neurodegenerative disorders, and infectious diseases.
This antibody is validated for use in WB, IHC-P, IP, ELISA applications and has demonstrated reactivity against Human, Mouse, Rat samples.
Product Name:
[KO Validated] Beclin 1 Antibody
SKU:
CAB7353
Size:
20μL, 100μL
Reactivity:
Human, Mouse, Rat
Conjugate:
Unconjugated
Immunogen:
Recombinant protein (or fragment).This information is considered to be commercially sensitive.
This gene encodes a protein that regulates autophagy, a catabolic process of degradation induced by starvation. The encoded protein is a component of the phosphatidylinositol-3-kinase (PI3K) complex which mediates vesicle-trafficking processes. This protein is thought to play a role in multiple cellular processes, including tumorigenesis, neurodegeneration and apoptosis. Alternative splicing results in multiple transcript variants.
Purification Method
Affinity purification
Gene ID
8678
RRID
AB_2863552
Buffer Information
Store at -20℃. Avoid freeze / thaw cycles. Buffer: PBS with 0.09% Sodium azide,50% glycerol,pH7.3.
Western blot analysis of lysates from Mouse lung using Beclin 1 Rabbit pAb (CAB7353) at 1:900 dilution. Secondary antibody: HRP-conjugated Goat anti-Rabbit IgG (H+L) (CABS014) at 1:10000 dilution. Lysates/proteins: 25 μg per lane. Blocking buffer: 3% nonfat dry milk in TBST. Detection: ECL Basic Kit (AbGn00020). Exposure time: 60s.
Western blot analysis of various lysates, using Beclin 1 Rabbit pAb (CAB7353) at 1:1000 dilution. Secondary antibody: HRP-conjugated Goat anti-Rabbit IgG (H+L) (CABS014) at 1:10000 dilution. Lysates/proteins: 25μg per lane. Blocking buffer: 3% nonfat dry milk in TBST. Detection: ECL Basic Kit (AbGn00020). Exposure time: 60s.
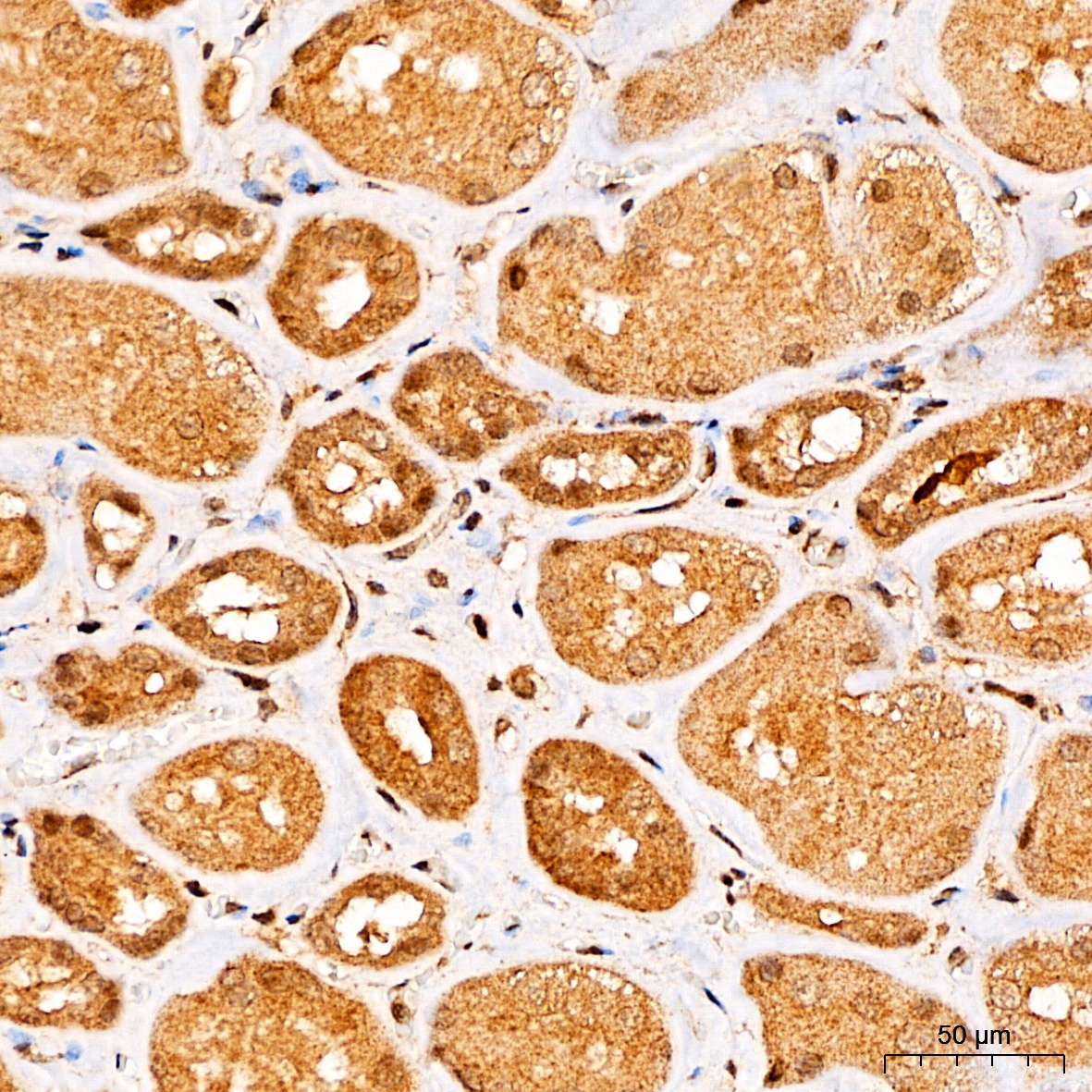
Immunohistochemistry analysis of paraffin-embedded Human kidney tissue using Beclin 1 Rabbit pAb (CAB7353) at a dilution of 1:300 (40x lens). High pressure antigen retrieval performed with 0.01M Citrate Buffer(pH 6.0) prior to IHC staining.
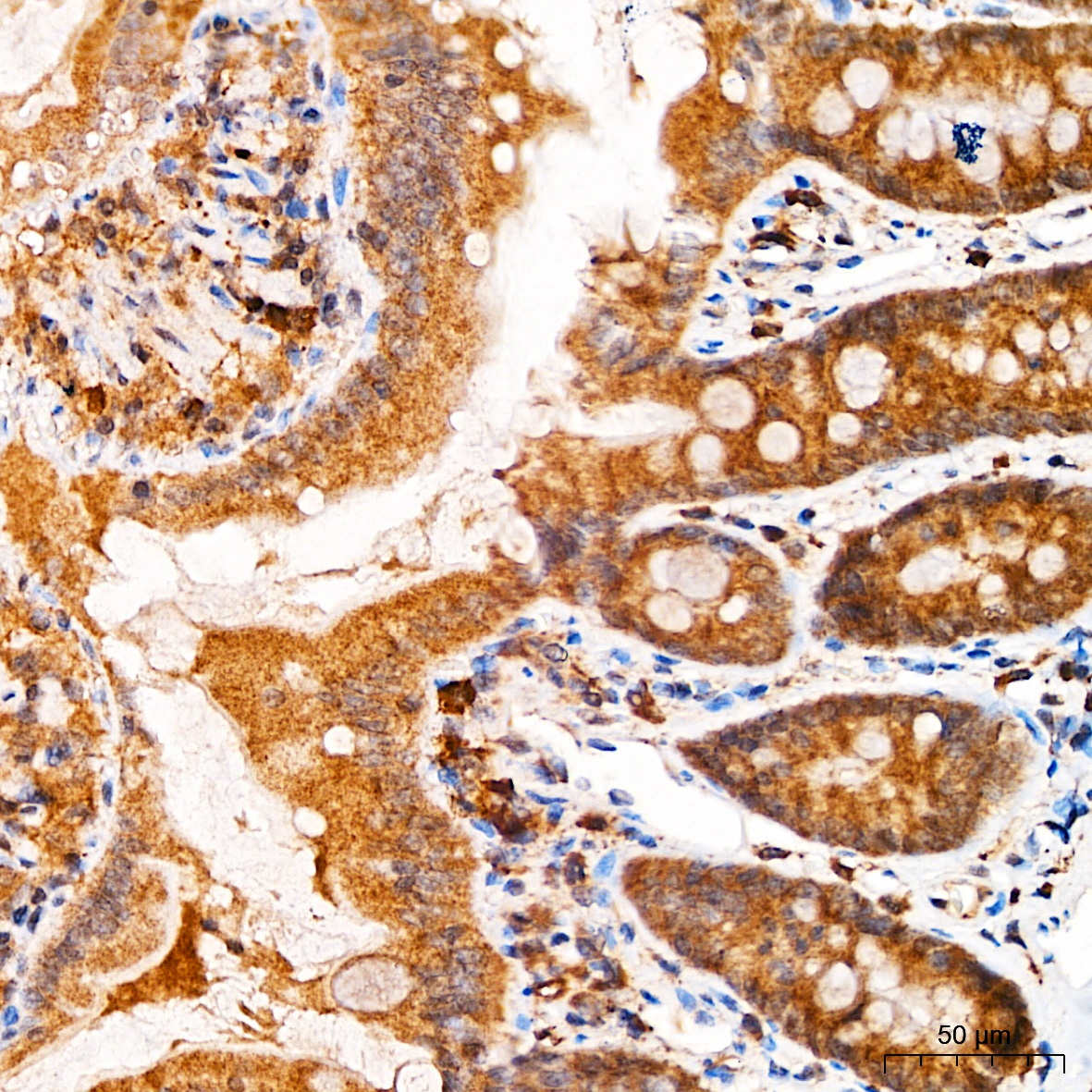
Immunohistochemistry analysis of paraffin-embedded Rat colon tissue using Beclin 1 Rabbit pAb (CAB7353) at a dilution of 1:300 (40x lens). High pressure antigen retrieval performed with 0.01M Citrate Buffer(pH 6.0) prior to IHC staining.