The Calmegin Monoclonal Antibody (CAB19648) is a high-quality antibody developed for reliable detection and analysis of target proteins. This antibody, raised in rabbits, exhibits high reactivity with human samples and is validated for use in Western blot applications. By binding specifically to the Calmegin protein, this antibody allows for accurate detection and analysis in a variety of cell types, making it ideal for investigations in cell biology and protein research.Calmegin is known to play a crucial role in protein quality control within the endoplasmic reticulum, making it a potential target for therapeutic interventions in diseases related to protein misfolding and aggregation.
This antibody is validated for use in WB, IHC-P, ELISA, IF-P applications and has demonstrated reactivity against Human, Mouse, Rat samples.
Product Name:
Calmegin Monoclonal Antibody
SKU:
CAB19648
Size:
20μL, 100μL
Reactivity:
Human, Mouse, Rat
Clone Number:
ARC2214
Conjugate:
Unconjugated
Immunogen:
Recombinant protein (or fragment).This information is considered to be commercially sensitive.
Recommended starting concentration is 1 μg/mL. Please optimize the concentration based on your specific assay requirements.
Synonyms:
CLGN, Calmegin
Positive Sample:
PC-3, Mouse testis, Rat testis
Cellular Localization:
Endoplasmic Reticulum.
Calculated MW:
70kDa
Observed MW:
70kDa
Calmegin is a testis-specific endoplasmic reticulum chaperone protein. CLGN may play a role in spermatogeneisis and infertility.
Purification Method
Affinity purification
Gene ID
1047
Buffer Information
Store at -20℃. Avoid freeze / thaw cycles. Buffer: PBS containing 50% glycerol and 0.05% BSA, preserved with proclin300 or sodium azide, pH 7.3.
Western blot analysis of various lysates using Calmegin Rabbit mAb (CAB19648) at 1:1000 dilution. Secondary antibody: HRP-conjugated Goat anti-Rabbit IgG (H+L) (CABS014) at 1:10000 dilution. Lysates/proteins: 25μg per lane. Blocking buffer: 3% nonfat dry milk in TBST. Detection: ECL Basic Kit (AbGn00020). Exposure time: 10s.
Western blot analysis of lysates from PC-3 cells, using Calmegin Rabbit mAb (CAB19648) at 1:1000 dilution. Secondary antibody: HRP-conjugated Goat anti-Rabbit IgG (H+L) (CABS014) at 1:10000 dilution. Lysates/proteins: 25μg per lane. Blocking buffer: 3% nonfat dry milk in TBST. Detection: ECL Basic Kit (AbGn00020). Exposure time: 30s.
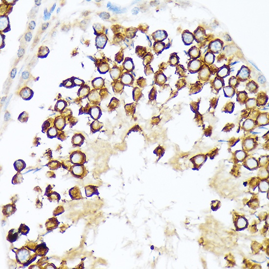
Immunohistochemistry analysis of paraffin-embedded Rat testis using Calmegin Rabbit mAb (CAB19648) at dilution of 1:100 (40x lens). Microwave antigen retrieval performed with 0.01M Tris/EDTA Buffer (pH 9.0) prior to IHC staining.
Immunofluorescence analysis of paraffin-embedded rat testis using Calmegin Rabbit mAb (CAB19648) at dilution of 1:100 (40x lens). Secondary antibody: Cy3-conjugated Goat anti-Rabbit IgG (H+L) (CABS007) at 1:500 dilution. Blue: DAPI for nuclear staining.