The Casein Kinase 1 alpha (CSNK1A1) Monoclonal Antibody (CAB9308) is a high-quality antibody developed for reliable detection and analysis of target proteins. This polyclonal antibody, generated in rabbits, exhibits high reactivity with human samples and has been validated for use in Western blot applications. By specifically targeting the CSNK1A1 protein, this antibody enables precise detection and analysis in a variety of cell types, making it ideal for studies in molecular biology, cell signaling, and cancer research.CSNK1A1, also known as casein kinase 1 alpha, plays a crucial role in diverse cellular processes such as cell proliferation, differentiation, and metabolism.
This antibody is validated for use in WB, IHC-P, ELISA applications and has demonstrated reactivity against Human, Mouse, Rat samples.
Enables protein serine/threonine kinase activity. Involved in several processes, including negative regulation of canonical Wnt signaling pathway; peptidyl-serine phosphorylation; and positive regulation of proteasomal ubiquitin-dependent protein catabolic process. Located in centrosome; cytosol; and nuclear speck. Part of beta-catenin destruction complex. Colocalizes with keratin filament and mRNA cleavage and polyadenylation specificity factor complex. Biomarker of Alzheimer's disease and inclusion body myositis.
Purification Method
Affinity purification
Gene ID
1452
RRID
AB_2863708
Buffer Information
Store at -20℃. Avoid freeze / thaw cycles. Buffer: PBS containing 50% glycerol and 0.05% BSA, preserved with proclin300 or sodium azide, pH 7.3.
Western blot analysis of various lysates using Casein Kinase 1 alpha (CSNK1A1) Rabbit mAb (CAB9308) at 1:1000 dilution. Secondary antibody: HRP-conjugated Goat anti-Rabbit IgG (H+L) (CABS014) at 1:10000 dilution. Lysates/proteins: 25μg per lane. Blocking buffer: 3% nonfat dry milk in TBST. Detection: ECL Basic Kit (AbGn00020). Exposure time: 1s.
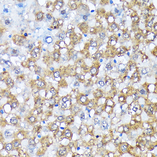
Immunohistochemistry analysis of paraffin-embedded Rat liver using Casein Kinase 1 alpha (CSNK1A1) Rabbit mAb (CAB9308) at dilution of 1:100 (40x lens). Microwave antigen retrieval performed with 0.01M Tris/EDTA Buffer (pH 9.0) prior to IHC staining.