The CD52 Antibody (CAB16815) is a high-quality antibody developed for reliable detection and analysis of target proteins. This antibody, produced through rabbit immunization, is highly specific for human CD52 and has been validated for use in Western blot applications. By binding to the CD52 protein, this antibody allows for accurate detection and analysis in a variety of cell types, making it an excellent choice for studies in immunology and cancer research.CD52 is known for its role in immunosuppression, making it a key target for investigations into immune system function.
This antibody is validated for use in WB, IHC-P, ELISA applications and has demonstrated reactivity against Human, Mouse samples.
Product Name:
CD52 Antibody
SKU:
CAB16815
Size:
20μL, 100μL
Reactivity:
Human, Mouse
Immunogen:
Synthetic peptide. This information is considered to be commercially sensitive.
Recommended starting concentration is 1 μg/mL. Please optimize the concentration based on your specific assay requirements.
Synonyms:
HE5, CDW52, EDDM5, CD52
Positive Sample:
Mouse bone marrow
Cellular Localization:
Extracellular Region, Plasma Membrane.
Calculated MW:
7kDa
Observed MW:
29kDa
Involved in positive regulation of cytosolic calcium ion concentration. Predicted to be located in extracellular region and plasma membrane. Predicted to be intrinsic component of plasma membrane. Predicted to be active in sperm midpiece.
Purification Method
Affinity purification
Gene ID
1043
RRID
AB_2768793
Buffer Information
Store at -20℃. Avoid freeze / thaw cycles. Buffer: PBS containing 50% glycerol, preserved with proclin300 or sodium azide, pH 7.3.
Western blot analysis of lysates from Mouse bone marrow, using CD52 Rabbit pAb (CAB16815) at 1:300 dilution. Secondary antibody: HRP-conjugated Goat anti-Rabbit IgG (H+L) (CABS014) at 1:10000 dilution. Lysates/proteins: 25μg per lane. Blocking buffer: 3% nonfat dry milk in TBST. Detection: ECL Enhanced Kit (AbGn00021). Exposure time: 90s.
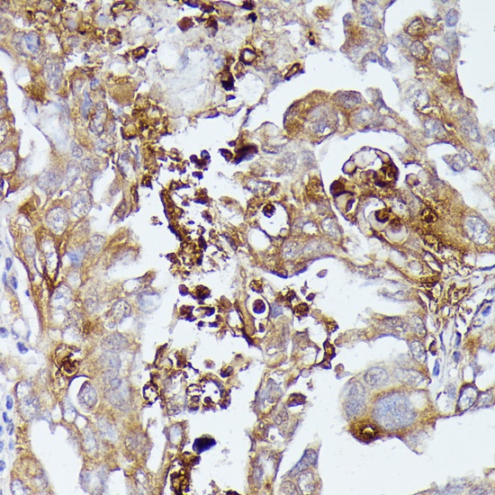
Immunohistochemistry analysis of paraffin-embedded Human lung cancer using CD52 Rabbit pAb (CAB16815) at dilution of 1:100 (40x lens). Microwave antigen retrieval performed with 0.01M PBS Buffer (pH 7.2) prior to IHC staining.