The CDC25B Monoclonal Antibody (CAB9758) is a high-quality antibody developed for reliable detection and analysis of target proteins. This antibody, produced in rabbits, exhibits high reactivity with human samples and is validated for use in Western blot applications. By binding specifically to CDC25B, researchers can accurately detect and analyze this protein in a variety of cell types, making it ideal for investigations in cell biology and cancer research.CDC25B is a key player in cell cycle progression, promoting cell division by activating cyclin-dependent kinases.
This antibody is validated for use in WB, IHC-P, ELISA applications and has demonstrated reactivity against Human samples.
Product Name:
CDC25B Monoclonal Antibody
SKU:
CAB9758
Size:
20μL, 100μL
Reactivity:
Human
Clone Number:
ARC1736
Conjugate:
Unconjugated
Immunogen:
Synthetic peptide. This information is considered to be commercially sensitive.
Recommended starting concentration is 1 μg/mL. Please optimize the concentration based on your specific assay requirements.
Synonyms:
CDC25B, cell division cycle 25B
Positive Sample:
HeLa, Hep G2, Raji
Cellular Localization:
Cytoplasm, Centrosome, Cytoskeleton, Microtubule Organizing Center, Spindle Pole.
Calculated MW:
65kDa
Observed MW:
65kDa
CDC25B is a member of the CDC25 family of phosphatases. CDC25B activates the cyclin dependent kinase CDC2 by removing two phosphate groups and it is required for entry into mitosis. CDC25B shuttles between the nucleus and the cytoplasm due to nuclear localization and nuclear export signals. The protein is nuclear in the M and G1 phases of the cell cycle and moves to the cytoplasm during S and G2. CDC25B has oncogenic properties, although its role in tumor formation has not been determined. Multiple transcript variants for this gene exist.
Purification Method
Affinity purification
Gene ID
994
RRID
AB_2863774
Buffer Information
Store at -20℃. Avoid freeze / thaw cycles. Buffer: PBS containing 50% glycerol and 0.05% BSA, preserved with proclin300 or sodium azide, pH 7.3.
Western blot analysis of various lysates using CDC25B Rabbit mAb (CAB9758) at 1:1000 dilution. Secondary antibody: HRP-conjugated Goat anti-Rabbit IgG (H+L) (CABS014) at 1:10000 dilution. Lysates/proteins: 25μg per lane. Blocking buffer: 3% nonfat dry milk in TBST. Detection: ECL Basic Kit (AbGn00020). Exposure time: 10s.
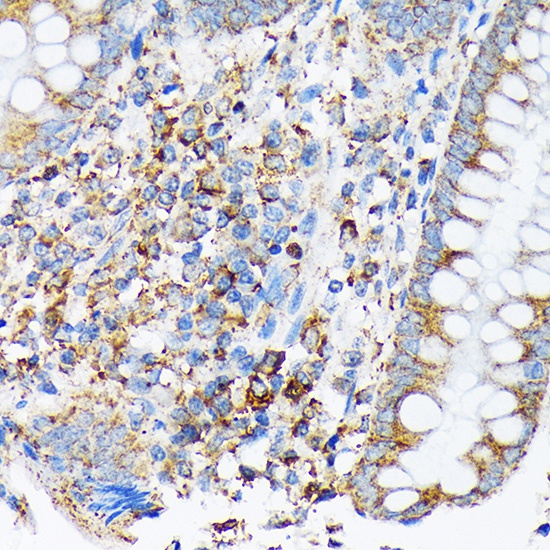
Immunohistochemistry analysis of paraffin-embedded Human appendix using CDC25B Rabbit mAb (CAB9758) at dilution of 1:100 (40x lens). Microwave antigen retrieval performed with 0.01M Tris/EDTA Buffer (pH 9.0) prior to IHC staining.