The CDCA3 Monoclonal Antibody (CAB4921) is a high-quality antibody developed for reliable detection and analysis of target proteins. This polyclonal antibody, produced in rabbits, is highly specific for human samples and has been validated for use in Western blot applications. By binding to the CDCA3 protein, this antibody enables researchers to detect and analyze CDCA3 expression in various cell types, making it ideal for studies in cell biology and cancer research.CDCA3 is a key regulator of cell division, controlling the timing of cell cycle events and ensuring accurate chromosome segregation during cell division. Dysregulation of CDCA3 has been implicated in various types of cancer, making it a potential target for cancer therapy and diagnostic applications.
This antibody is validated for use in WB, IHC-P, ELISA applications and has demonstrated reactivity against Human samples.
Product Name:
CDCA3 Monoclonal Antibody
SKU:
CAB4921
Size:
20μL, 100μL
Reactivity:
Human
Clone Number:
ARC2135
Conjugate:
Unconjugated
Immunogen:
Synthetic peptide. This information is considered to be commercially sensitive.
Recommended starting concentration is 1 μg/mL. Please optimize the concentration based on your specific assay requirements.
Synonyms:
GRCC8, TOME1, TOME-1, CDCA3
Positive Sample:
K-562
Cellular Localization:
Adherens Junction, Cytosol.
Calculated MW:
29kDa
Observed MW:
29kDa
Predicted to be involved in cell division and protein ubiquitination. Located in adherens junction.
Purification Method
Affinity purification
Gene ID
83461
Buffer Information
Store at -20℃. Avoid freeze / thaw cycles. Buffer: PBS containing 50% glycerol and 0.05% BSA, preserved with proclin300 or sodium azide, pH 7.3.
Western blot analysis of lysates from K-562 cells, using CDCA3 Rabbit mAb (CAB4921) at 1:1000 dilution. Secondary antibody: HRP-conjugated Goat anti-Rabbit IgG (H+L) (CABS014) at 1:10000 dilution. Lysates/proteins: 25μg per lane. Blocking buffer: 3% nonfat dry milk in TBST. Detection: ECL Basic Kit (AbGn00020). Exposure time: 180s.
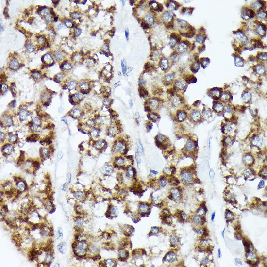
Immunohistochemistry analysis of paraffin-embedded Human liver cancer using CDCA3 Rabbit mAb (CAB4921) at dilution of 1:100 (40x lens). Microwave antigen retrieval performed with 0.01M Tris/EDTA Buffer (pH 9.0) prior to IHC staining.