The EHD1 Monoclonal Antibody (CAB3496) is a high-quality antibody developed for reliable detection and analysis of target proteins. This antibody, produced in rabbits, has high reactivity towards human samples and has been validated for use in Western blotting applications. By targeting the EHD1 protein, this antibody allows for the detection and analysis of EHD1 in various cell types, making it an excellent choice for studies in cell biology and molecular biology.EHD1 is known for its role in the regulation of endocytic recycling, which is essential for maintaining cellular homeostasis and the proper functioning of organelles.
This antibody is validated for use in WB, IHC-P, ELISA applications and has demonstrated reactivity against Human, Mouse, Rat samples.
Product Name:
EHD1 Monoclonal Antibody
SKU:
CAB3496
Size:
20μL, 100μL
Reactivity:
Human, Mouse, Rat
Clone Number:
ARC2015
Conjugate:
Unconjugated
Immunogen:
Synthetic peptide. This information is considered to be commercially sensitive.
This gene belongs to a highly conserved gene family encoding EPS15 homology (EH) domain-containing proteins. The protein-binding EH domain was first noted in EPS15, a substrate for the epidermal growth factor receptor. The EH domain has been shown to be an important motif in proteins involved in protein-protein interactions and in intracellular sorting. The protein encoded by this gene is thought to play a role in the endocytosis of IGF1 receptors. Alternatively spliced transcript variants have been found for this gene.
Purification Method
Affinity purification
Gene ID
10938
RRID
AB_2863074
Buffer Information
Store at -20℃. Avoid freeze / thaw cycles. Buffer: PBS containing 50% glycerol and 0.05% BSA, preserved with proclin300 or sodium azide, pH 7.3.
Western blot analysis of various lysates using EHD1 Rabbit mAb (CAB3496) at 1:1000 dilution incubated overnight at 4℃. Secondary antibody: HRP-conjugated Goat anti-Rabbit IgG (H+L) (CABS014) at 1:10000 dilution. Lysates/proteins: 25 μg per lane. Blocking buffer: 3% nonfat dry milk in TBST. Detection: ECL Basic Kit (AbGn00020). Exposure time: 10s.
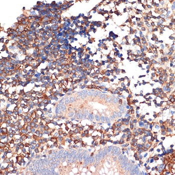
Immunohistochemistry analysis of paraffin-embedded Human appendix using EHD1 Rabbit mAb (CAB3496) at dilution of 1:100 (40x lens). Microwave antigen retrieval performed with 0.01M Tris/EDTA Buffer (pH 9.0) prior to IHC staining.