The eIF3e Monoclonal Antibody (CAB3431) is a high-quality antibody developed for reliable detection and analysis of target proteins. This antibody, raised in rabbits, is highly specific to human EIF3E and has been validated for use in Western blot applications. By binding to EIF3E, this antibody enables the detection and analysis of the protein in various cell types, making it a valuable asset for studies in molecular biology and cancer research.EIF3E plays a crucial role in the initiation of protein synthesis, making it a target of interest in understanding cellular processes and disease development.
This antibody is validated for use in WB, IHC-P, ELISA applications and has demonstrated reactivity against Human, Mouse, Rat samples.
Product Name:
eIF3e Monoclonal Antibody
SKU:
CAB3431
Size:
20μL, 100μL
Reactivity:
Human, Mouse, Rat
Clone Number:
ARC1997
Conjugate:
Unconjugated
Immunogen:
Recombinant protein (or fragment).This information is considered to be commercially sensitive.
Recommended starting concentration is 1 μg/mL. Please optimize the concentration based on your specific assay requirements.
Synonyms:
INT6, EIF3S6, EIF3-P48, eIF3-p46, eIF3e
Positive Sample:
HeLa, 293T, Jurkat, Mouse lung, Mouse testis, Rat lung, Rat testis
Cellular Localization:
Cytoplasm, Nucleus, Pml Body.
Calculated MW:
52kDa
Observed MW:
52kDa
Enables protein N-terminus binding activity. Contributes to translation initiation factor activity. Involved in positive regulation of mRNA binding activity; regulation of gene expression; and translational initiation. Located in cytosol and nucleus. Part of eukaryotic translation initiation factor 3 complex. Colocalizes with PML body.
Purification Method
Affinity purification
Gene ID
3646
RRID
AB_2863057
Buffer Information
Store at -20℃. Avoid freeze / thaw cycles. Buffer: PBS containing 50% glycerol and 0.05% BSA, preserved with proclin300 or sodium azide, pH 7.3.
Western blot analysis of various lysates using eIF3e Rabbit mAb (CAB3431) at 1:1000 dilution. Secondary antibody: HRP-conjugated Goat anti-Rabbit IgG (H+L) (CABS014) at 1:10000 dilution. Lysates/proteins: 25μg per lane. Blocking buffer: 3% nonfat dry milk in TBST. Detection: ECL Basic Kit (AbGn00020). Exposure time: 30s.
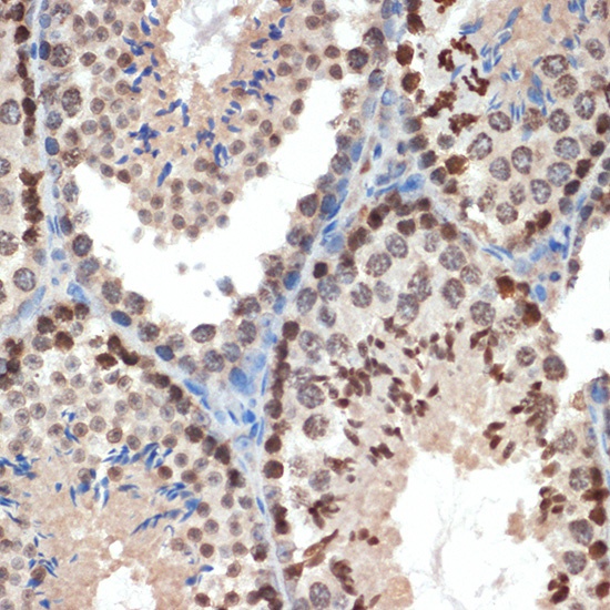
Immunohistochemistry analysis of paraffin-embedded Mouse testis using eIF3e Rabbit mAb (CAB3431) at dilution of 1:100 (40x lens). Microwave antigen retrieval performed with 0.01M Tris/EDTA Buffer (pH 9.0) prior to IHC staining.