The ELMO1 Monoclonal Antibody (CAB5169) is a high-quality antibody developed for reliable detection and analysis of target proteins. This antibody, raised in rabbits, is highly reactive with human samples and is validated for use in various applications such as Western blotting and immunofluorescence.ELMO1 is a key player in the regulation of Rac GTPases, which are essential for cytoskeletal reorganization during cell movement and phagocytosis. Dysregulation of ELMO1 has been implicated in various diseases, including cancer and autoimmune disorders.
This antibody is validated for use in WB, IHC-P, ELISA applications and has demonstrated reactivity against Human, Mouse, Rat samples.
Product Name:
ELMO1 Monoclonal Antibody
SKU:
CAB5169
Size:
20μL, 100μL
Reactivity:
Human, Mouse, Rat
Clone Number:
ARC1985
Conjugate:
Unconjugated
Immunogen:
Synthetic peptide. This information is considered to be commercially sensitive.
Recommended starting concentration is 1 μg/mL. Please optimize the concentration based on your specific assay requirements.
Synonyms:
CED12, CED-12, ELMO-1, ELMO1
Positive Sample:
Raji, SH-SY5Y, Mouse lung, Mouse brain, Rat brain
Cellular Localization:
Cell Membrane, Cytoplasm.
Calculated MW:
84kDa
Observed MW:
84kDa
This gene encodes a member of the engulfment and cell motility protein family. These proteins interact with dedicator of cytokinesis proteins to promote phagocytosis and cell migration. Increased expression of this gene and dedicator of cytokinesis 1 may promote glioma cell invasion, and single nucleotide polymorphisms in this gene may be associated with diabetic nephropathy. Alternative splicing results in multiple transcript variants.
Purification Method
Affinity purification
Gene ID
9844
RRID
AB_2863472
Buffer Information
Store at -20℃. Avoid freeze / thaw cycles. Buffer: PBS containing 50% glycerol and 0.05% BSA, preserved with proclin300 or sodium azide, pH 7.3.
Western blot analysis of various lysates using ELMO1 Rabbit mAb (CAB5169) at 1:1000 dilution. Secondary antibody: HRP-conjugated Goat anti-Rabbit IgG (H+L) (CABS014) at 1:10000 dilution. Lysates/proteins: 25μg per lane. Blocking buffer: 3% nonfat dry milk in TBST. Detection: ECL Basic Kit (AbGn00020). Exposure time: 3s.
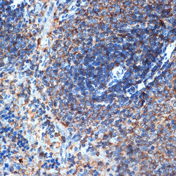
Immunohistochemistry analysis of paraffin-embedded Rat spleen using ELMO1 Rabbit mAb (CAB5169) at dilution of 1:100 (40x lens). Microwave antigen retrieval performed with 0.01M Tris/EDTA Buffer (pH 9.0) prior to IHC staining.