The KAT9/Elp3 Monoclonal Antibody (CAB0020) is a high-quality antibody developed for reliable detection and analysis of target proteins. This antibody, produced in rabbits, is highly specific and reacts strongly with human samples, making it ideal for Western blotting applications.The KAT9/ELP3 complex is involved in various cellular processes, including gene transcription and DNA repair. By targeting the KAT9/ELP3 complex, researchers can gain valuable insights into how these processes are regulated and potentially develop new therapeutic strategies for diseases related to gene dysregulation.
This antibody is validated for use in WB, IHC-P, ELISA applications and has demonstrated reactivity against Human, Mouse, Rat samples.
Product Name:
KAT9/Elp3 Monoclonal Antibody
SKU:
CAB0020
Size:
20μL, 100μL
Reactivity:
Human, Mouse, Rat
Clone Number:
ARC1806
Conjugate:
Unconjugated
Immunogen:
Recombinant protein (or fragment).This information is considered to be commercially sensitive.
Recommended starting concentration is 1 μg/mL. Please optimize the concentration based on your specific assay requirements.
Synonyms:
KAT9, KAT9/Elp3
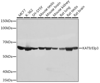
Positive Sample:
MCF7, K-562, SH-SY5Y, Mouse testis, Mouse brain, Mouse kidney, Rat lung, Rat testis, Rat brain
Cellular Localization:
Cytoplasm, Nucleus.
Calculated MW:
62kDa
Observed MW:
62kDa
Enables acetyltransferase activity and phosphorylase kinase regulator activity. Involved in regulation of transcription by RNA polymerase II and tRNA wobble uridine modification. Located in cytosol and nucleolus. Part of elongator holoenzyme complex.
Purification Method
Affinity purification
Gene ID
55140
RRID
AB_2861446
Buffer Information
Store at -20℃. Avoid freeze / thaw cycles. Buffer: PBS containing 50% glycerol and 0.05% BSA, preserved with proclin300 or sodium azide, pH 7.3.
Western blot analysis of various lysates using KAT9/Elp3 Rabbit mAb (CAB0020) at 1:1000 dilution. Secondary antibody: HRP-conjugated Goat anti-Rabbit IgG (H+L) (CABS014) at 1:10000 dilution. Lysates/proteins: 25μg per lane. Blocking buffer: 3% nonfat dry milk in TBST. Detection: ECL Basic Kit (AbGn00020). Exposure time: 1s.
Immunohistochemistry analysis of paraffin-embedded Rat brain using KAT9/Elp3 Rabbit mAb (CAB0020) at dilution of 1:100 (40x lens). Microwave antigen retrieval performed with 0.01M Tris/EDTA Buffer (pH 9.0) prior to IHC staining.